症例詳細
Case detail
銀歯をセラミックに変えたい
治療症例の内容
- 診療科目
- 治療カテゴリ
- 担当医
- 草深敏毅(ドクタープロフィール)
- 患者様
- 40代男性
- 治療期間
- 1ヶ月
- 治療回数
- 2-5回
- 治療計画
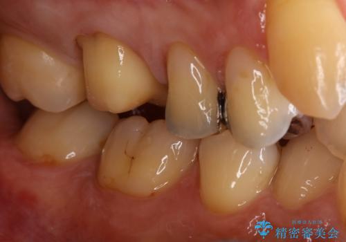
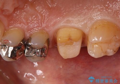
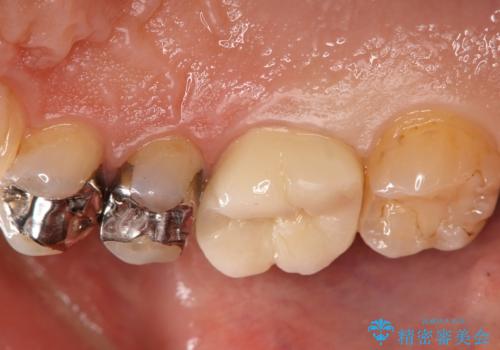
- 銀歯のセラミックへのやり替えをご希望で来院されました。
銀歯が入ってる歯は複数箇所ありましたが、咬合力がより強く破折リスクが高い奥歯から治療を開始してます。
- 費用(概算)
- 13.2万円費用は治療当時の料金となります
治療について
奥歯の噛み合わせが強く、治療後にセラミックが割れるリスクがあった為マウスピースの装着をして頂いてます。
他の銀歯については患者様のご希望のタイミングで治療していく予定です。
セラミック治療の注意事項(リスク・副作用など)
- 天然歯を削ります
- 硬い素材は天然歯を傷つけてしまう場合があります
- かみ合わせや歯ぎしりが強すぎる方はセラミックが割れてしまう可能性があります
- 自費診療(保険適用外治療)となります
当サイトの内容、テキスト、画像等の無断転載、複製、複写、盗用を固く禁じます。








