症例詳細
Case detail
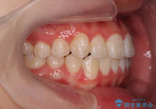
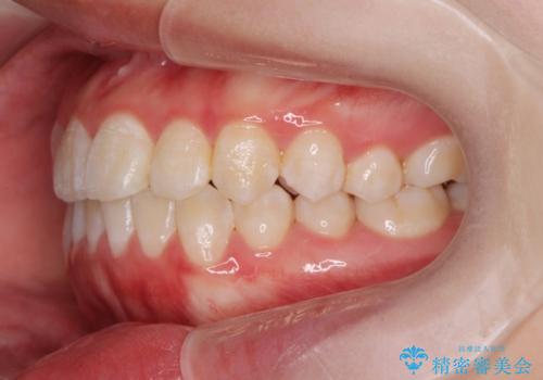
上下すれ違った前歯の矯正治療
治療症例の内容
- 担当医
- 大元洋佑(ドクタープロフィール)
- 患者様
- 20代女性
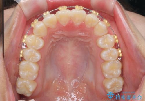
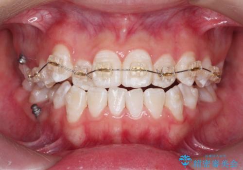
- 矯正装置
- インビザライン +部分ワイヤー矯正
- 治療期間
- 2年
- 治療回数
- 10-30回
- 治療計画
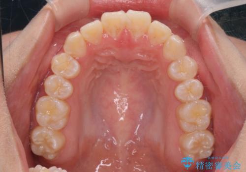
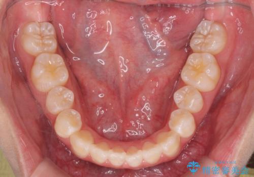
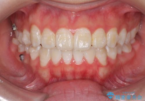
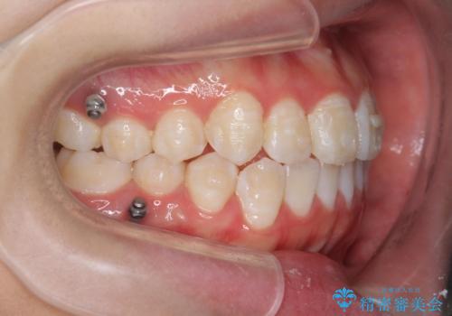
- 八重歯に見える犬歯と、すれ違いのある前歯の治療を希望され来院されました。
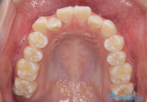
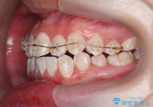
上顎歯列の八重歯を下ろし、すれ違いを改善する歯の動きはマウスピースでは難しいため部分ワイヤー矯正を行い、下顎はマウスピース矯正を開始します。
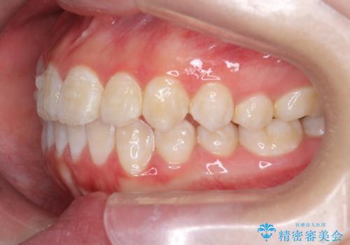
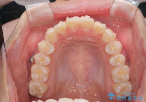
上記の問題が解決したのち、上下マウスピース矯正インビザラインを行うことで微調整を行っていきます。
- 費用(概算)
- 99万円費用は治療当時の料金となります
治療について
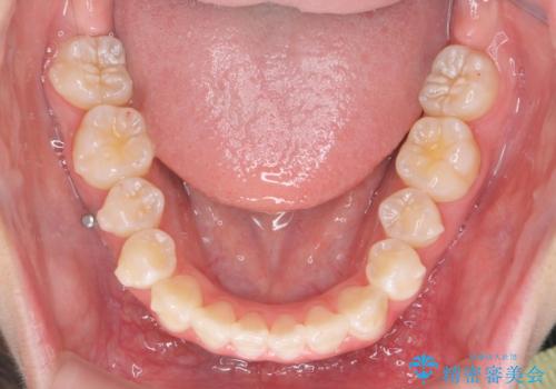
見た目にも美しい歯並びとなっただけでなく、歯ブラシがしやすくなりました。
マウスピース矯正の注意事項(リスク・副作用など)
- 口腔内・歯並びの状態によっては対応できない場合があります
- マウスピース型矯正装置の長時間装着(1日20時間以上)が必須です
- 治療計画通りに進めるためには、患者様の意志が重要になります
- 矯正治療後の保定が不十分だと後戻り(元の位置に戻ろうとする動き)をします
- 薬機法対象外の矯正歯科装置のため医薬品副作用被害救済制度の対象外となる場合があります
- 自費診療(保険適用外)となります
当サイトの内容、テキスト、画像等の無断転載、複製、複写、盗用を固く禁じます。

























