症例詳細
Case detail
フロスがちぎれて取れない 他院の治療やり替え
治療症例の内容
- 診療科目
- 治療カテゴリ
- 担当医
- 高悠莉(ドクタープロフィール)
- 患者様
- 40代女性
- 治療期間
- 3ヶ月
- 治療回数
- 2-5回
- 治療計画
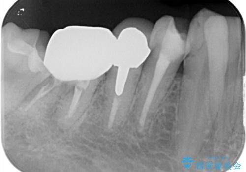
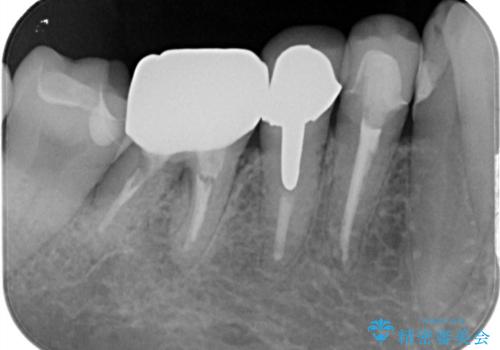
- フロスをしていたが歯と歯の間にはさまり、取れなくなったとのご相談にいらした患者様です。以前、他院で治療した部分に凹みがあり、その部分にフロスが残留しちぎれていました。このため、根本的に歯のかぶせ物・詰め物を新しくする必要があると判断いたしました。治療後はフロスでのケアもスムーズになり、良好な経過をたどっています。
- 費用(概算)
- 120,000円(税込)費用は治療当時の料金となります
根の治療後は詰め物orかぶせ物?
一般的に、失活歯(根の治療をし、神経を取り除いてある歯)はそうでない歯と比較し、噛み合わせの力がかかりやすいといわれています。残存する歯質の量にもよりますが、歯の破折を防ぐためにクラウン(かぶせ物)を選択するケースが多いです。
セラミック治療の注意事項(リスク・副作用など)
- 天然歯を削ります
- 硬い素材は天然歯を傷つけてしまう場合があります
- かみ合わせや歯ぎしりが強すぎる方はセラミックが割れてしまう可能性があります
- 自費診療(保険適用外治療)となります
根管治療の注意事項(リスク・副作用など)
- 根管治療により類似の全ての症例の問題が解決するわけではなく、症例はあくまでも一例です
- 根管治療により痛みや腫れがひかない事や、術後に痛みや腫れが生じる事、治療によるファイル破折やパーフォレーションなどの偶発症、術後の歯根破折を生じる可能性もあります
- 自費診療(保険適用外)となります
当サイトの内容、テキスト、画像等の無断転載、複製、複写、盗用を固く禁じます。






