症例詳細
Case detail
歯茎が腫れている 奥歯の根管治療
治療症例の内容
- 診療科目
- 治療カテゴリ
- 担当医
- 藤巻太一朗(ドクタープロフィール)
- 患者様
- 20代女性
- 治療期間
- 6ヶ月
- 治療回数
- 5-10回
- 治療計画
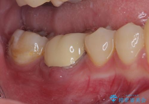
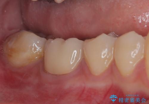
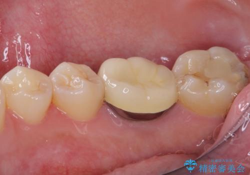
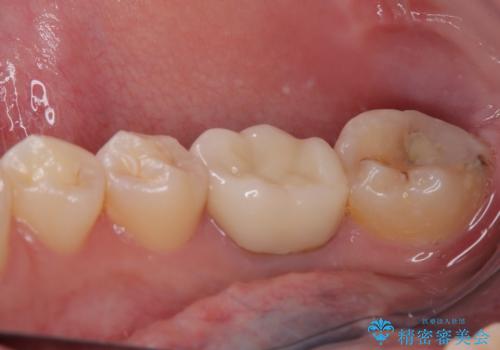
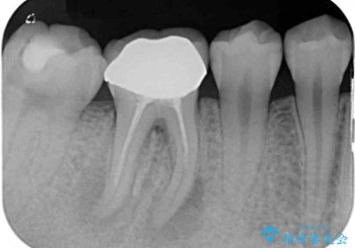
- 奥歯の歯肉から定期的に膿が出てくるとのことで来院された患者様です。
レントゲン写真などの診察を行った結果、根管治療が必要であったため、現在のクラウンを除去し、根管治療を行うこととしました。
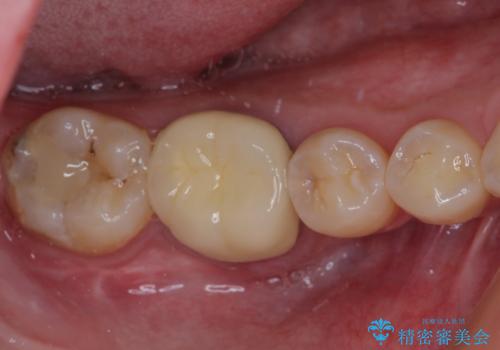
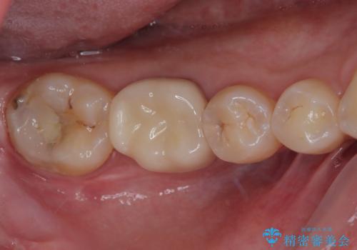
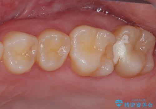
根管治療後は症状を確認し、速やかにオールセラミッククラウンにて補綴治療を行うこととしました。
- 費用(概算)
- 治療費の目安: 30万円(税込)費用は治療当時の料金となります
治療について
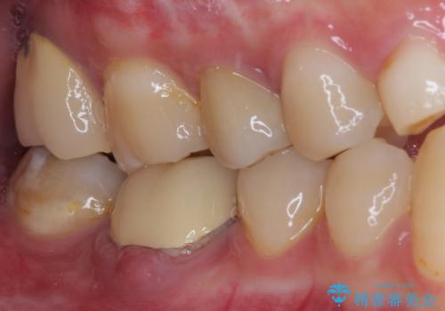
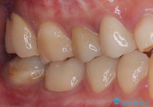
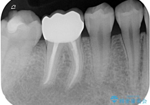
病変が消退しているかどうか、半年、1年とレントゲン写真で経過観察を行う必要があります。
海外に行かれていた都合で、術後2年での経過観察となりましたが、無事に病変の消失が認められました。
根管治療の注意事項(リスク・副作用など)
- 根管治療により類似の全ての症例の問題が解決するわけではなく、症例はあくまでも一例です
- 根管治療により痛みや腫れがひかない事や、術後に痛みや腫れが生じる事、治療によるファイル破折やパーフォレーションなどの偶発症、術後の歯根破折を生じる可能性もあります
- 自費診療(保険適用外)となります
当サイトの内容、テキスト、画像等の無断転載、複製、複写、盗用を固く禁じます。











