症例詳細
Case detail
セラッミクインレー|オールセラミッククラウン|銀歯による二次カリエス|ラバーダムシート使用
治療症例の内容
- 診療科目
- 担当医
- 河野豊嘉(ドクタープロフィール)
- 患者様
- 40代女性
- 治療期間
- 1ヶ月
- 治療回数
- 2-5回
- 治療計画
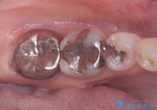
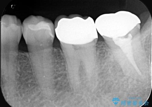
- 銀歯の下の虫歯です。お写真で分かるように広範囲で深い虫歯でした。
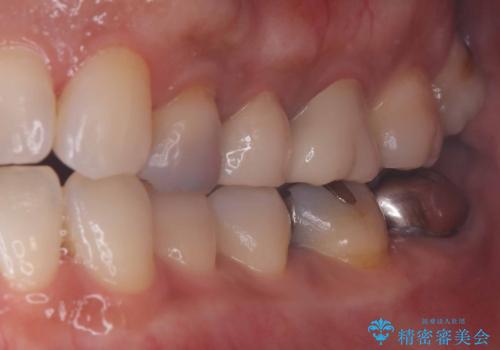
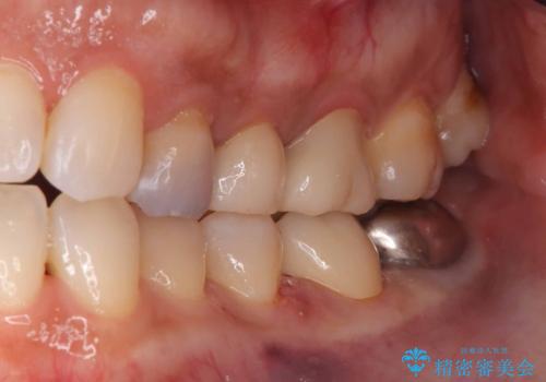
1歯はオールセラミッククラウンもう1歯はセラミックインレーで治療を行いました。
- 費用(概算)
- 税込209,000円(オールセラミッククラウン121,000円+仮歯11,000円+セラミックインレー77,000円)費用は治療当時の料金となります
治療について
かなり虫歯が大きく深かったですが、神経は取らずに残す事が出来ました。
当院ではセラッミクインレーをつける時は必ずラバーダムを使用して付けます。
唾液と湿気はセラミックインレーの接着を阻害するのでラバーダムを使用しそれを防ぎます。
セラミック治療の注意事項(リスク・副作用など)
- 天然歯を削ります
- 硬い素材は天然歯を傷つけてしまう場合があります
- かみ合わせや歯ぎしりが強すぎる方はセラミックが割れてしまう可能性があります
- 自費診療(保険適用外治療)となります
当サイトの内容、テキスト、画像等の無断転載、複製、複写、盗用を固く禁じます。











