症例詳細
Case detail
前歯の叢生を非抜歯で改善|インビザライン+IPR・遠心移動・FIX保定
治療症例の内容
- 診療科目
- 治療カテゴリ
- 担当医
- 河口智英(ドクタープロフィール)
- 患者様
- 20代女性
- 治療期間
- 1年
- 治療回数
- 10-30回
- 治療計画
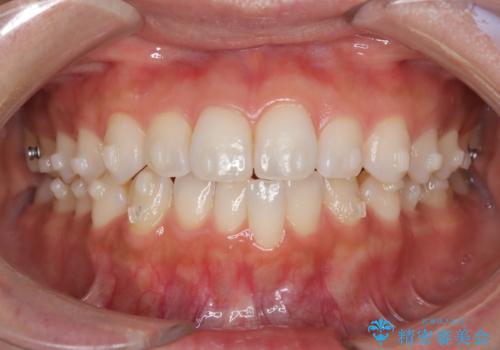
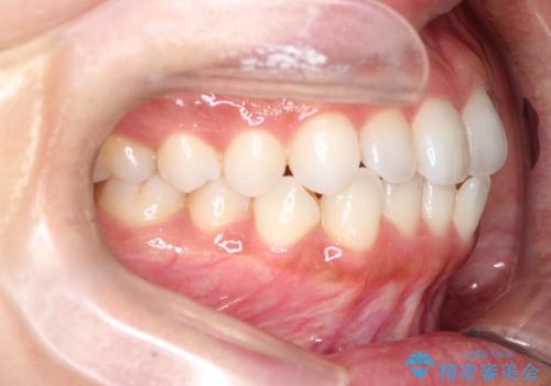
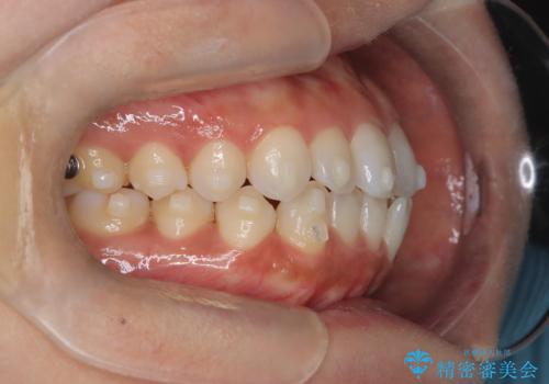
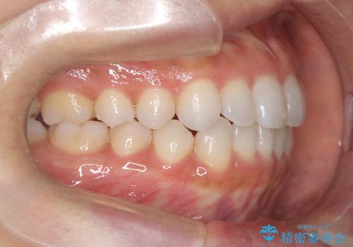
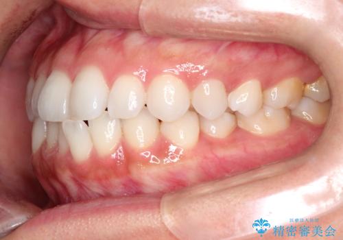
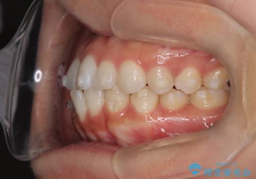
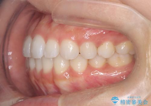
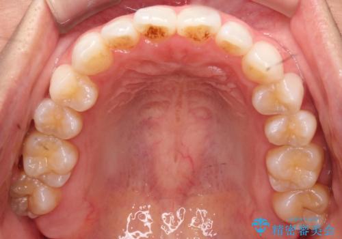
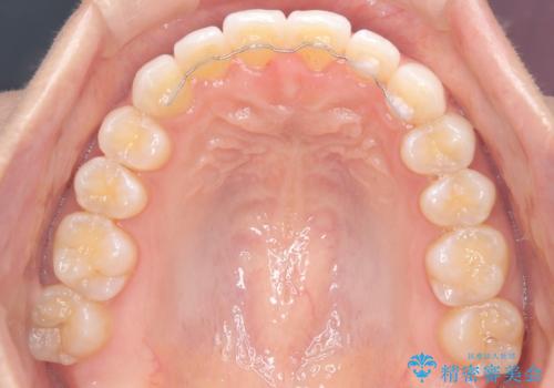
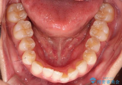
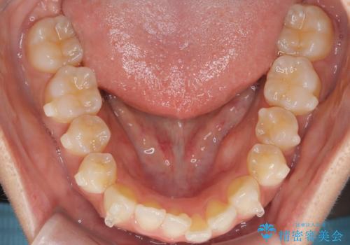
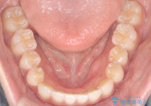
- 前歯部のガタガタ(叢生)を非抜歯で改善するため、インビザラインによるマウスピース矯正を計画しました。抜歯は行わず、歯間をわずかに削るIPR(ディスキング)と奥歯を後方に移動させる遠心移動を併用して、歯を並べるスペースを確保します。歯列が整った後は、FIXリテーナー(固定式保定装置)で後戻りを防止し、安定した歯並びを維持します。
- 費用(概算)
- 85万円費用は治療当時の料金となります
治療について
歯を抜きたくないというご希望に応え、インビザラインを用いて非抜歯で歯列を整えました。前歯に必要なスペースを確保するため、歯間をわずかに削るIPRと奥歯を後方に移動する遠心移動を組み合わせました。これにより自然で美しい歯並びを実現。治療終了後は、歯の裏側に目立たないFIXリテーナーを装着し、歯列の後戻りを効果的に防ぎました。患者様は治療中も審美的にストレスなく過ごされ、満足度の高い結果を得られました。
マウスピース矯正の注意事項(リスク・副作用など)
- 口腔内・歯並びの状態によっては対応できない場合があります
- マウスピース型矯正装置の長時間装着(1日20時間以上)が必須です
- 治療計画通りに進めるためには、患者様の意志が重要になります
- 矯正治療後の保定が不十分だと後戻り(元の位置に戻ろうとする動き)をします
- 薬機法対象外の矯正歯科装置のため医薬品副作用被害救済制度の対象外となる場合があります
- 自費診療(保険適用外)となります
当サイトの内容、テキスト、画像等の無断転載、複製、複写、盗用を固く禁じます。















