症例詳細
Case detail
前歯の叢生・Ⅱ級咬合を改善|TADを用いた遠心移動+インビザライン矯正
治療症例の内容
- 診療科目
- 治療カテゴリ
- 担当医
- 河口智英(ドクタープロフィール)
- 患者様
- 20代女性
- 治療期間
- 1年6ヶ月
- 治療回数
- 10-30回
- 治療計画
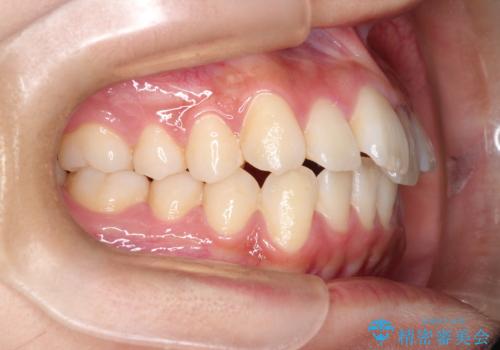
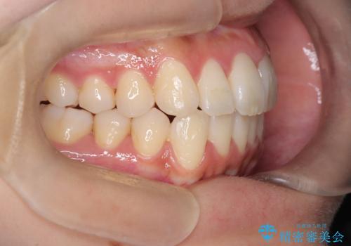
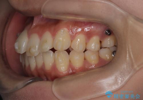
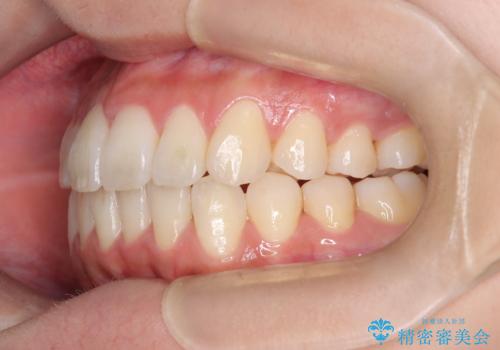
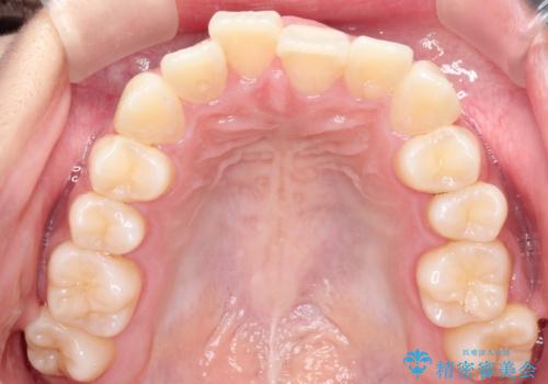
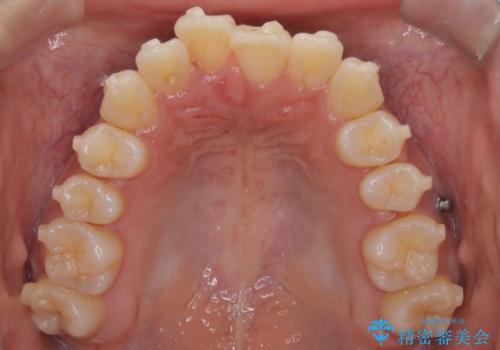
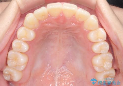
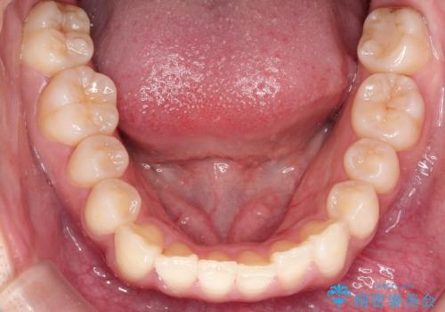
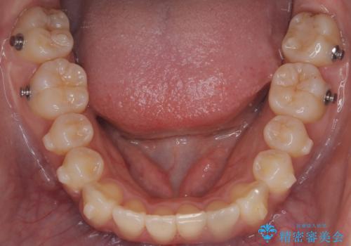
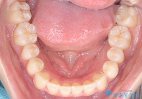
- 前歯のガタガタと臼歯関係のⅡ級(上顎の歯列が前方にある状態)を改善するため、TAD(歯科矯正用アンカースクリュー)を使用したインビザライン矯正を計画しました。まずTADを上顎の適切な位置に設置し、それを固定源にして奥歯を後方(遠心)へ移動させ、十分なスペースを確保します。その後、インビザラインによるマウスピース矯正で前歯の歯列を整え、臼歯関係を正常化します。治療期間はおよそ1年半〜2年を想定しています。
- 費用(概算)
- 85万円費用は治療当時の料金となります
治療について
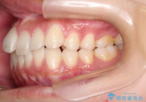
前歯部の叢生(ガタガタ)と臼歯関係のズレを改善するため、抜歯をせずに奥歯を後方へ移動(遠心移動)させることを選択しました。TADという小型のアンカースクリューを顎骨に設置することで、確実かつ効率的に奥歯を後方へ移動させました。併せて透明で目立ちにくいインビザラインを用いることで、審美性を保ちながら治療を進めることが可能でした。患者様の負担が少ないマウスピース矯正と固定源のTADを組み合わせることで、抜歯することなく歯並びと噛み合わせを大幅に改善でき、大変ご満足いただけました。
ワイヤー矯正の注意事項(リスク・副作用など)
- 治療中は違和感や痛みが起こることがあります
- 症状により、抜歯が必要な場合があります
- 治療中は歯磨きがしにくくなるため、虫歯や歯周病になりやすくなります
- 矯正治療後の保定が不十分だと後戻り(元の位置に戻ろうとする動き)をします
- 自費診療(保険適用外)となります
当サイトの内容、テキスト、画像等の無断転載、複製、複写、盗用を固く禁じます。















