症例詳細
Case detail
【セラミッククラウン】歯に穴が空いている
治療症例の内容
- 診療科目
- 治療カテゴリ
- 担当医
- 町田睦月(ドクタープロフィール)
- 患者様
- 30代男性
- 治療期間
- 治療回数
- 2-5回
- 治療計画
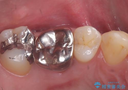
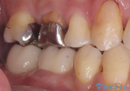
- 主訴:銀歯の入っている歯の側面に穴が空いている気がする。そこに食べ物が詰まる。
右上6番目の歯の被せものと歯質の境目に大きな窪みが出来ており、そこに汚れが停滞しやすい状態で虫歯もそこから広がっていたため、被せもののやり替えと必要に応じて土台の立て直しも行うこととしました。
- 費用(概算)
- 154,000円費用は治療当時の料金となります
治療について
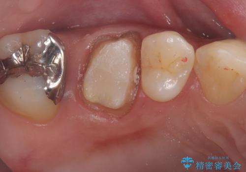
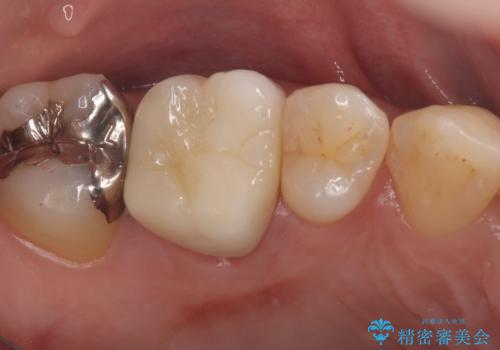
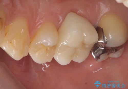
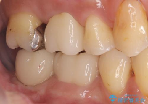
メタルクラウンを除去したところ近心面に大きな窪みとう蝕を認め、ファイバ-コアからのやり替えとしました。クラウンは審美性の良いセラミッククラウンを選択されました。
治療費内訳
・仮歯:20,000円(税抜き)
・オールセラミッククラウン(スタンダード):110,000円(税抜き)
・ファイバ-コア:20,000円(税抜き)
セラミック治療の注意事項(リスク・副作用など)
- 天然歯を削ります
- 硬い素材は天然歯を傷つけてしまう場合があります
- かみ合わせや歯ぎしりが強すぎる方はセラミックが割れてしまう可能性があります
- 自費診療(保険適用外治療)となります
当サイトの内容、テキスト、画像等の無断転載、複製、複写、盗用を固く禁じます。










