症例詳細
Case detail
歯ぐきが腫れた フルジルコニアクラウン
治療症例の内容
- 診療科目
- 治療カテゴリ
- 担当医
- 小澤俊哉(ドクタープロフィール)
- 患者様
- 50代女性
- 治療期間
- 2ヶ月
- 治療回数
- 5-10回
- 治療計画
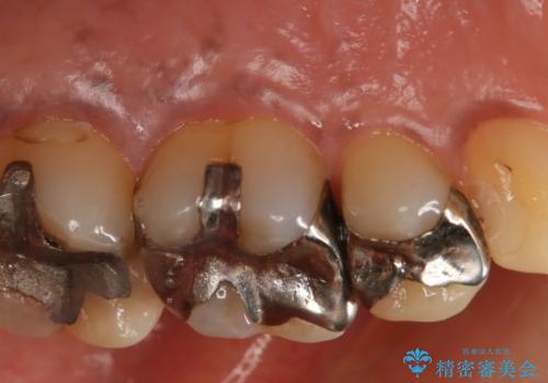
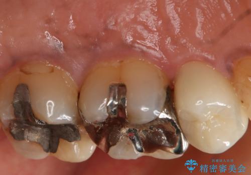
- 左上5番根尖部歯肉に膿ができ、治療を希望された患者様です。
神経が失活し根尖病変も見られるので、精密根管治療とクラウンでの治療を計画しました。
セラミックでの治療を希望されたので、フルジルコニアクラウンでの治療を選択しました。
- 費用(概算)
- 99,000円(フルジルコニアクラウン+仮歯)費用は治療当時の料金となります
治療について
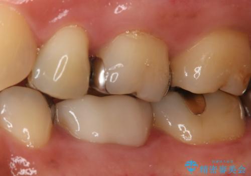
治療後は症状も無くなり経過は良好です。
セラミック治療の注意事項(リスク・副作用など)
- 天然歯を削ります
- 硬い素材は天然歯を傷つけてしまう場合があります
- かみ合わせや歯ぎしりが強すぎる方はセラミックが割れてしまう可能性があります
- 自費診療(保険適用外治療)となります
当サイトの内容、テキスト、画像等の無断転載、複製、複写、盗用を固く禁じます。











