症例詳細
Case detail
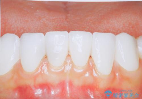
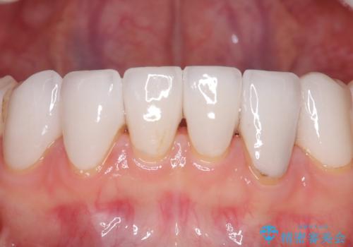
メンテナンスで10年後のセラミック
治療症例の内容
- 診療科目
- 治療カテゴリ
- 患者様
- 30代女性
- 治療期間
- 6ヶ月
- 治療回数
- 5-10回
- 治療計画
- 下前歯のガタガタを矯正せずセラミックで治したいと希望又上のセラミックのやり替えで白くしたい
- 費用(概算)
- 2,110,400円費用は治療当時の料金となります
治療について
10年前に上下左右4番から4番のセラミック治療をされメンテナンスは3・4か月毎にされています。
カメラの設定の違いで色調の違いはありますが患者様は維持できていることに喜ばれています。
セラミック治療の注意事項(リスク・副作用など)
- 天然歯を削ります
- 硬い素材は天然歯を傷つけてしまう場合があります
- かみ合わせや歯ぎしりが強すぎる方はセラミックが割れてしまう可能性があります
- 自費診療(保険適用外治療)となります
当サイトの内容、テキスト、画像等の無断転載、複製、複写、盗用を固く禁じます。




