症例詳細
Case detail
CRの劣化による虫歯|虫歯治療|セラミッククラウン|審美回復|神経を残す治療
治療症例の内容
- 診療科目
- 治療カテゴリ
- 担当医
- 河野豊嘉(ドクタープロフィール)
- 患者様
- 40代男性
- 治療期間
- 1ヶ月
- 治療回数
- 2-5回
- 治療計画
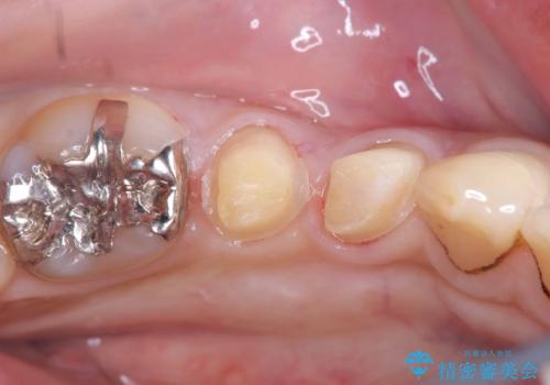
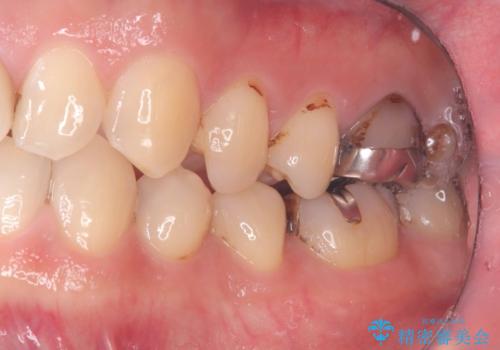
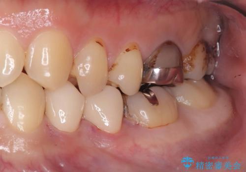
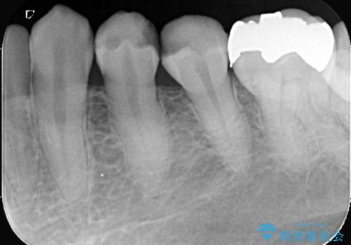
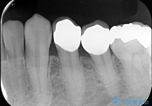
- CRが劣化し欠けてしまっている状態でした。 虫歯を除去後、歯を破折から守るためオールセラミッククラウンで治療を行いました。
- 費用(概算)
- 税込264,000円(オールセラミッククラウン121,000円×2本+仮歯11,000円×2本)費用は治療当時の料金となります
治療について
CRが欠けてしまっていて食べ物が凄く詰まる状態でした。
オールセラミッククラウンで治療後、お痛みや食べ物も詰まることなく経過は良好です。
セラミック治療の注意事項(リスク・副作用など)
- 天然歯を削ります
- 硬い素材は天然歯を傷つけてしまう場合があります
- かみ合わせや歯ぎしりが強すぎる方はセラミックが割れてしまう可能性があります
- 自費診療(保険適用外治療)となります
当サイトの内容、テキスト、画像等の無断転載、複製、複写、盗用を固く禁じます。







