症例詳細
Case detail
虫歯治療|歯を長持ちさせるための治療|セラミッククラウン|審美回復|精密根管治療
治療症例の内容
- 診療科目
- 担当医
- 河野豊嘉(ドクタープロフィール)
- 患者様
- 40代男性
- 治療期間
- 1ヶ月
- 治療回数
- 2-5回
- 治療計画
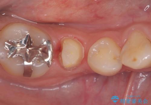
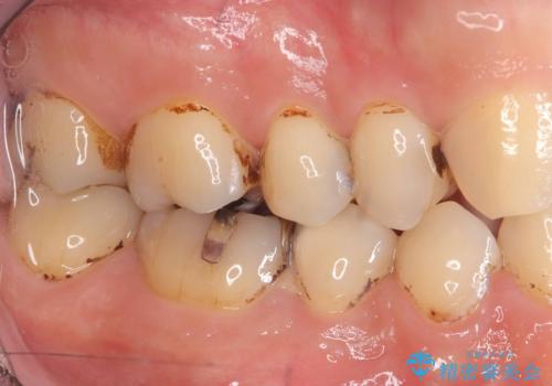
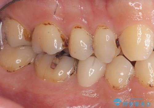
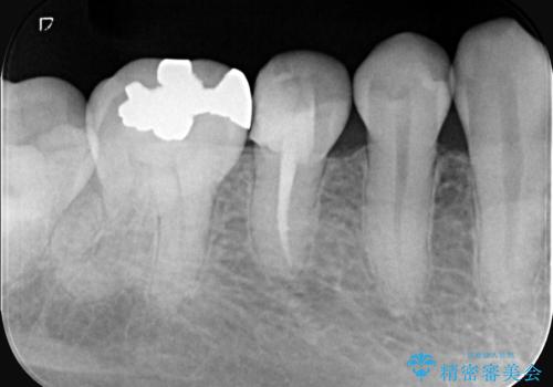
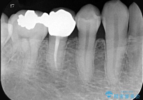
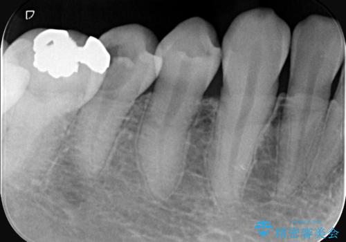
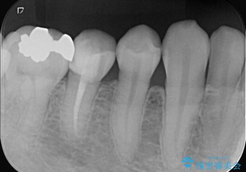
- 虫歯が大きく歯が欠けている状態でした。 そこに食べ物も詰まっている状態でした。
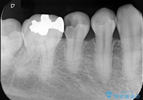
虫歯を除去後、精密根管治療を行い、オールセラミッククラウンで治療を行いました。
- 費用(概算)
- 税込242,000円(精密根管治療110,000円+オールセラミッククラウン121,000円+仮歯11,000円)費用は治療当時の料金となります
治療について
虫歯が大きく神経まで到達していました。将来根尖性歯周炎にならないよう徹底的に神経をとり洗浄したうえで被せ物をしています。
セラミック治療の注意事項(リスク・副作用など)
- 天然歯を削ります
- 硬い素材は天然歯を傷つけてしまう場合があります
- かみ合わせや歯ぎしりが強すぎる方はセラミックが割れてしまう可能性があります
- 自費診療(保険適用外治療)となります
根管治療の注意事項(リスク・副作用など)
- 根管治療により類似の全ての症例の問題が解決するわけではなく、症例はあくまでも一例です
- 根管治療により痛みや腫れがひかない事や、術後に痛みや腫れが生じる事、治療によるファイル破折やパーフォレーションなどの偶発症、術後の歯根破折を生じる可能性もあります
- 自費診療(保険適用外)となります
当サイトの内容、テキスト、画像等の無断転載、複製、複写、盗用を固く禁じます。










