症例詳細
Case detail
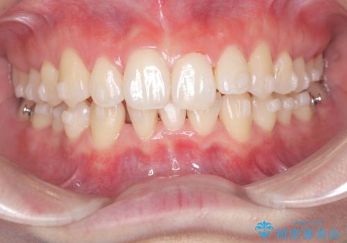
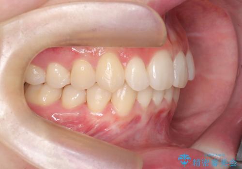
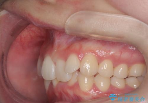
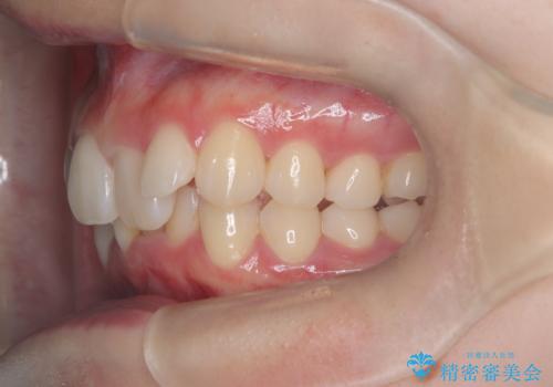
インビザライン矯正|下顎前歯1本抜歯でスムーズに歯列改善(1年で完了)
治療症例の内容
- 診療科目
- 治療カテゴリ
- 担当医
- 河口智英(ドクタープロフィール)
- 患者様
- 20代女性
- 治療期間
- 1年
- 治療回数
- 2-5回
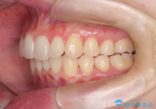
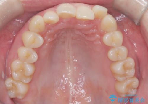
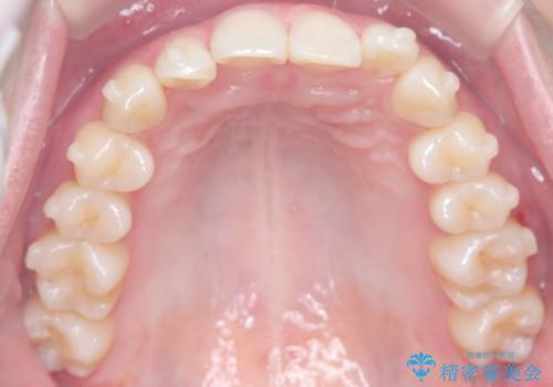
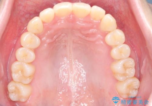
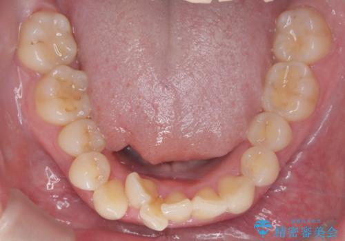
- 治療計画
- 患者様は、下顎前歯のガタつきを改善したいとのことで来院されました。診察の結果、スペース不足により前歯が重なっている状態でした。抜歯をせずに並べると前歯が前方に突出してしまうため、下顎の前歯を1本抜歯し、インビザラインで矯正する治療計画を立てました。できる限り追加のアライナーを使用せずに治療を完了できるよう、初回の治療計画を慎重に設計しました。
- 費用(概算)
- 80万円費用は治療当時の料金となります
治療について
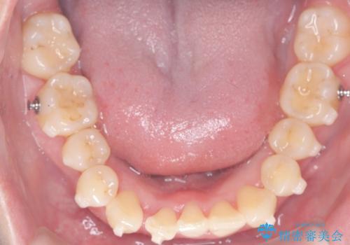
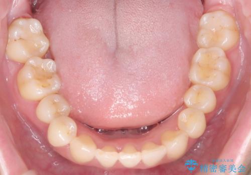
下顎前歯を1本抜歯し、歯列のスペースを確保。その後、インビザラインを用いて計画通りに歯を移動させ、噛み合わせも整えました。患者様の協力もあり、ゴムかけなどを適切に行い、予定通り1年で治療を完了。追加アライナーを使用することなく、計画通りに治療を終えることができました。患者様からは「思ったより早く終わり、仕上がりにも満足している」と喜びの声をいただきました。
マウスピース矯正の注意事項(リスク・副作用など)
- 口腔内・歯並びの状態によっては対応できない場合があります
- マウスピース型矯正装置の長時間装着(1日20時間以上)が必須です
- 治療計画通りに進めるためには、患者様の意志が重要になります
- 矯正治療後の保定が不十分だと後戻り(元の位置に戻ろうとする動き)をします
- 薬機法対象外の矯正歯科装置のため医薬品副作用被害救済制度の対象外となる場合があります
- 自費診療(保険適用外)となります
当サイトの内容、テキスト、画像等の無断転載、複製、複写、盗用を固く禁じます。















