症例詳細
Case detail
ハーフリンガル矯正|上下4本の抜歯で叢生を改善し、美しい歯並びへ
治療症例の内容
- 診療科目
- 治療カテゴリ
- 担当医
- 河口智英(ドクタープロフィール)
- 患者様
- 20代女性
- 治療期間
- 2年
- 治療回数
- 10-30回
- 治療計画
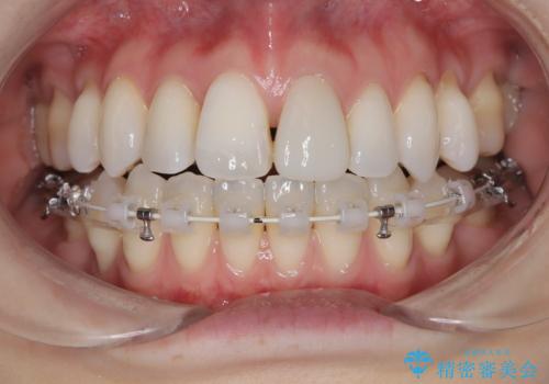
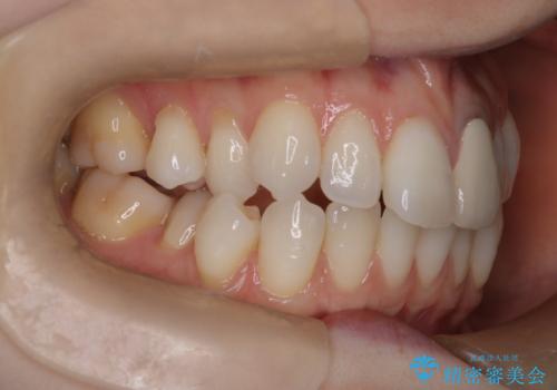
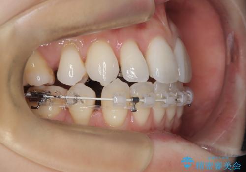
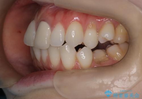
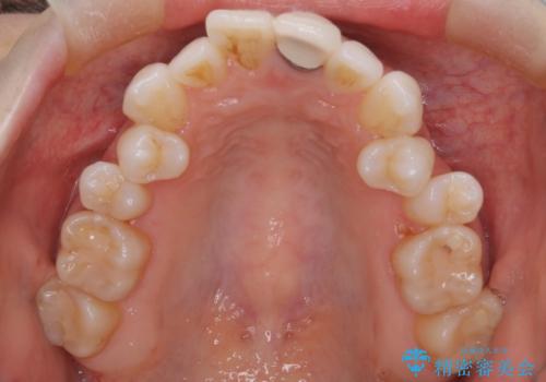
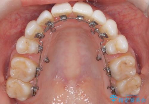
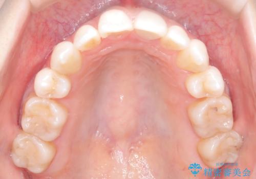
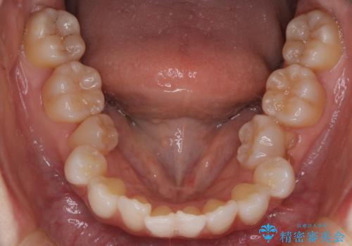
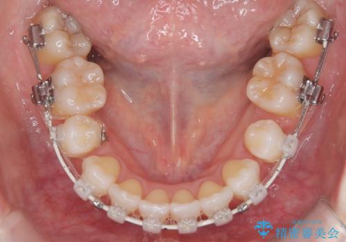
- 患者様は、歯並びの乱れ(叢生)を整えたいが、前歯の突出感は気にならないとのことで来院されました。診察の結果、全体的な歯列のスペース不足により抜歯が必要と判断。しかし、前歯を大きく下げる必要はなかったため、小臼歯の中でも5番(第二小臼歯)を抜歯する治療計画を立てました。装置は、上顎が舌側(リンガル)、下顎が表側(審美ワイヤー)のハーフリンガル矯正を採用し、目立ちにくさと効率的な歯の移動を両立しました。
- 費用(概算)
- 120万円費用は治療当時の料金となります
治療について
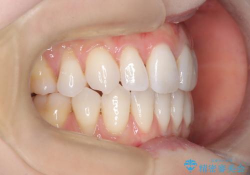
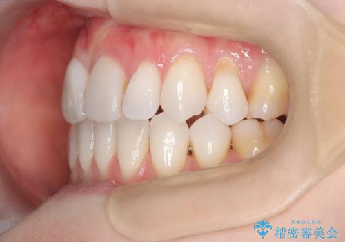
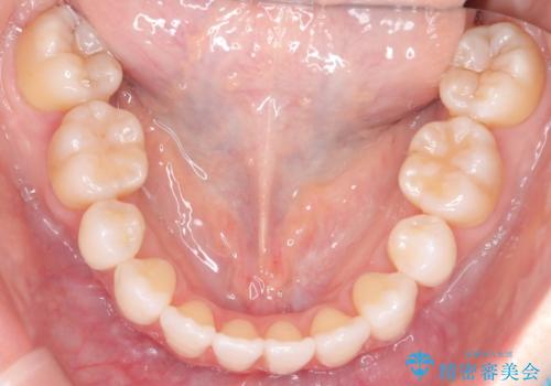
抜歯によって歯を並べるためのスペースを確保。その後、ハーフリンガル矯正を用いて、上顎は舌側から、下顎は目立ちにくいワイヤーで歯を誘導し、歯列全体を整えました。治療期間を通じて、噛み合わせのバランスも改善し、機能的にも審美的にも理想的な仕上がりとなりました。患者様からは「目立たずに矯正でき、きれいな歯並びになって嬉しい」とご満足いただきました。
ワイヤー矯正の注意事項(リスク・副作用など)
- 治療中は違和感や痛みが起こることがあります
- 症状により、抜歯が必要な場合があります
- 治療中は歯磨きがしにくくなるため、虫歯や歯周病になりやすくなります
- 矯正治療後の保定が不十分だと後戻り(元の位置に戻ろうとする動き)をします
- 自費診療(保険適用外)となります
当サイトの内容、テキスト、画像等の無断転載、複製、複写、盗用を固く禁じます。















