症例詳細
Case detail
【セラミックインレー】プラスチックの劣化が気になる
治療症例の内容
- 診療科目
- 治療カテゴリ
- 担当医
- 町田睦月(ドクタープロフィール)
- 患者様
- 20代女性
- 治療期間
- 1ヶ月
- 治療回数
- 2-5回
- 治療計画
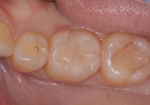
- 主訴:笑った時に下の歯のポラスチックが茶色くなっているのが気になる
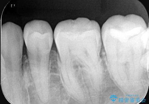
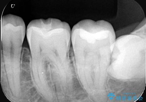
過去に虫歯の治療を受けた歯の噛む面に充填されているプラスチック材料が劣化し、歯質とプラスチック材料との境目に生じたギャップに汚れが溜まっている状態だったため、物性の安定したセラミックインレーにてやり替えとなりました。
- 費用(概算)
- 77,000円費用は治療当時の料金となります
治療について
充填されているプラスチックの材料を除去したところ、う蝕が広がっていたため除去しCR裏層の後セラミックインレー修復をしています。セラミックインレーセット時は、ラバーダム防湿を行っています。
セラミック治療の注意事項(リスク・副作用など)
- 天然歯を削ります
- 硬い素材は天然歯を傷つけてしまう場合があります
- かみ合わせや歯ぎしりが強すぎる方はセラミックが割れてしまう可能性があります
- 自費診療(保険適用外治療)となります
当サイトの内容、テキスト、画像等の無断転載、複製、複写、盗用を固く禁じます。





