症例詳細
Case detail
精度の高い治療をしたい。セラミックインレー修復
治療症例の内容
- 診療科目
- 治療カテゴリ
- 担当医
- 齋藤佑磨(ドクタープロフィール)
- 患者様
- 30代女性
- 治療期間
- 1ヶ月
- 治療回数
- 2-5回
- 治療計画
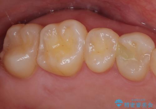
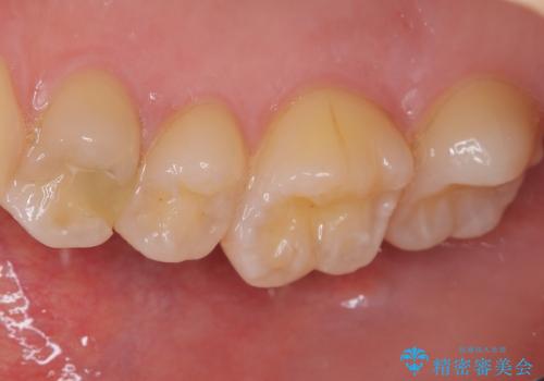
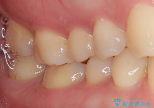
- 他院で虫歯を指摘され、精度の高い治療を希望されて来院された患者様です。
口腔内で直接処置を行う樹脂の材料(CR)で修復してありました。
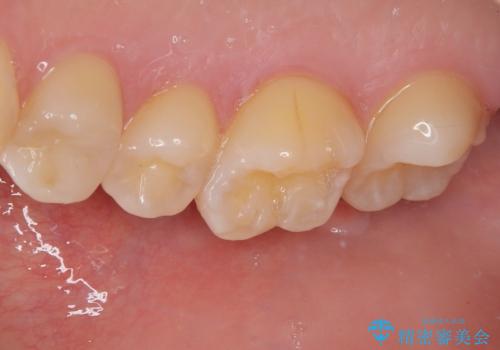
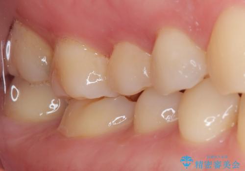
フロスの引っ掛かりやレントゲン像から、CRを除去し、虫歯を徹底的に除去し、精度の高いセラミックインレーにて修復することとしました。
虫歯が神経に近接している可能性があるため、念のためラバーダムをして虫歯の除去を行いました。
- 費用(概算)
- 9万円(税込)費用は治療当時の料金となります
治療について
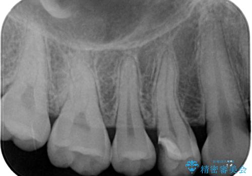
レントゲン像から、隙間のない精度の高い詰め物が入っていることが確認できます。
セラミック治療の注意事項(リスク・副作用など)
- 天然歯を削ります
- 硬い素材は天然歯を傷つけてしまう場合があります
- かみ合わせや歯ぎしりが強すぎる方はセラミックが割れてしまう可能性があります
- 自費診療(保険適用外治療)となります
当サイトの内容、テキスト、画像等の無断転載、複製、複写、盗用を固く禁じます。









