症例詳細
Case detail
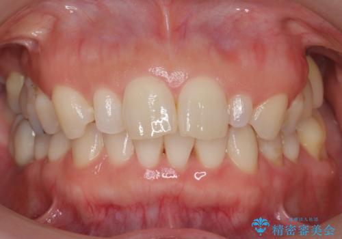
前歯が大きいのが気になる セラミックで整えたい
治療症例の内容
- 診療科目
- 治療カテゴリ
- 担当医
- 井上季実子(ドクタープロフィール)
- 患者様
- 40代女性
- 治療期間
- 2ヶ月
- 治療回数
- 2-5回
- 治療計画
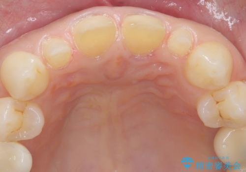
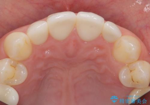
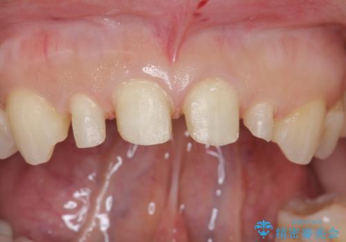
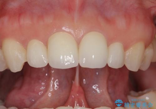
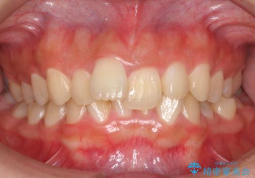
- 前歯が大きいのを揃えたいとのことでした。
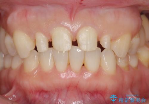
少し削って長さを短くして様子を見ましたが、どうしても気になるとのことでした。
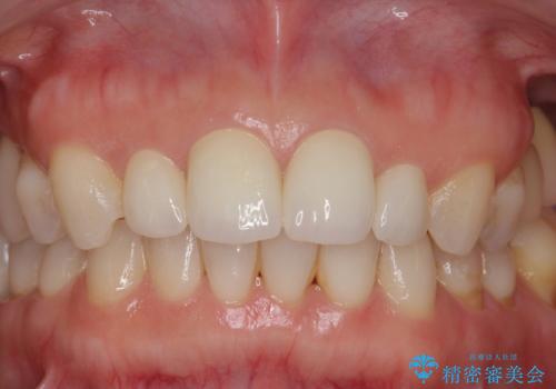
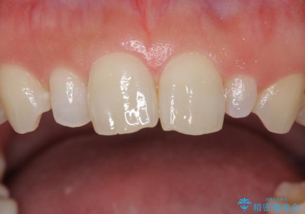
隣の前歯が小さいため、4本被せてバランスをとりました。
4本セラミックにすると大きさだけでなく、色も揃えられるのでおすすめです。
- 費用(概算)
- ジルコニアクラウン(スタンダード) 11万円×4本、仮歯 1万円×4本費用は治療当時の料金となります
治療について
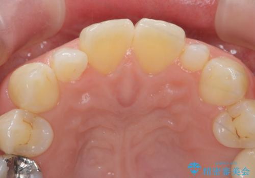
歯の向きは悪くなかったため、神経は取らずに治療しました。
セラミック治療の注意事項(リスク・副作用など)
- 天然歯を削ります
- 硬い素材は天然歯を傷つけてしまう場合があります
- かみ合わせや歯ぎしりが強すぎる方はセラミックが割れてしまう可能性があります
- 自費診療(保険適用外治療)となります
当サイトの内容、テキスト、画像等の無断転載、複製、複写、盗用を固く禁じます。











