症例詳細
Case detail
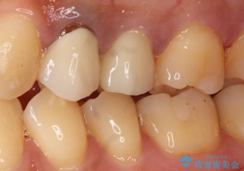
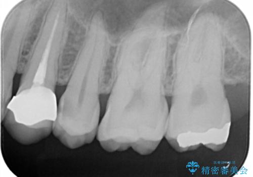
う蝕除去中に露髄 フルジルコニアクラウン
治療症例の内容
- 診療科目
- 治療カテゴリ
- 担当医
- 小澤俊哉(ドクタープロフィール)
- 患者様
- 30代女性
- 治療期間
- 1ヶ月
- 治療回数
- 2-5回
- 治療計画
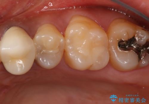
- 左上5番のう蝕治療を希望された患者様です。
う蝕が神経近接にまで達していたので露髄する可能性を説明しました。
その場合、精密根管治療・クラウンになることもお伝えしています。
- 費用(概算)
- 99000円(フルジルコニアクラウン+仮歯)費用は治療当時の料金となります
治療について
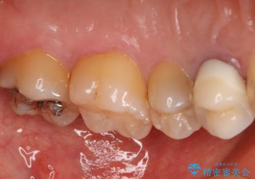
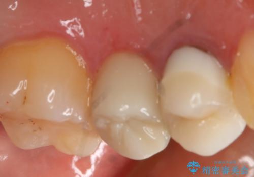
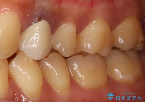
う蝕除去中に露髄したため精密根管治療へと切り替え、仮歯をはさんでセラミッククラウンを装着し終了としました。
*根管治療は保険を希望されました。
セラミック治療の注意事項(リスク・副作用など)
- 天然歯を削ります
- 硬い素材は天然歯を傷つけてしまう場合があります
- かみ合わせや歯ぎしりが強すぎる方はセラミックが割れてしまう可能性があります
- 自費診療(保険適用外治療)となります
当サイトの内容、テキスト、画像等の無断転載、複製、複写、盗用を固く禁じます。








