症例詳細
Case detail
- 患者様
- 20代女性
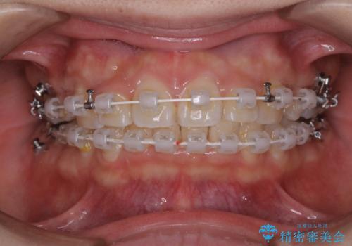
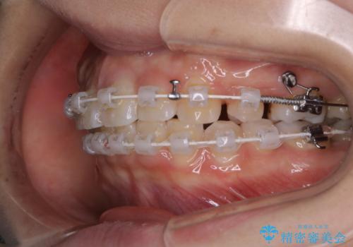
- 矯正装置
- 審美装置(ワイヤー)
- 治療期間
- 3年
- 治療回数
- 30回以上
- 治療計画
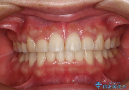
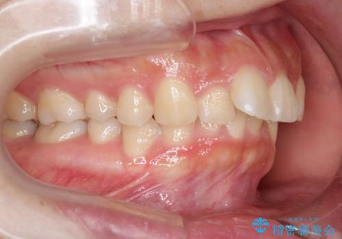
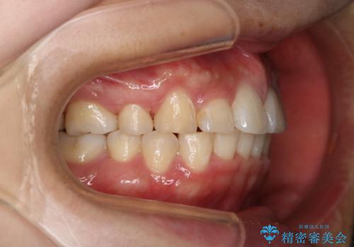
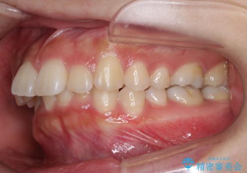
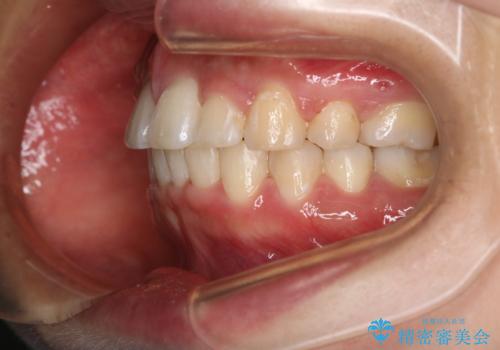
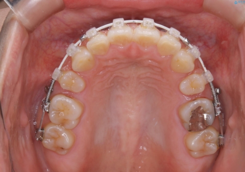
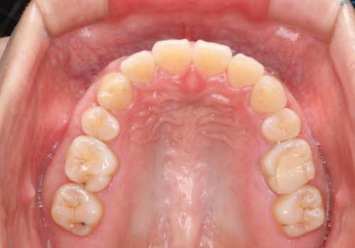
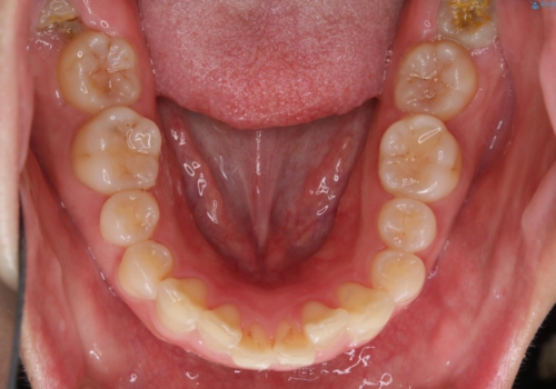
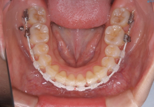
- 前歯のがたつきが気になるとご相談にいらした方です。当初は前歯の部分矯正をご希望されていましたが、全体的に整えることで審美的、機能的な歯並びとなりました。
- 費用(概算)
- 84万円(税込み)費用は治療当時の料金となります
治療について
当初は上顎前歯のみの部分矯正をご希望されていましたが、部分的に前歯のみを並べると出っ歯感がつよくなり、食事もしづらくなる可能性をお伝えしました。全顎的な矯正治療により、審美的、機能的な歯並びとなりました。
ワイヤー矯正の注意事項(リスク・副作用など)
- 治療中は違和感や痛みが起こることがあります
- 症状により、抜歯が必要な場合があります
- 治療中は歯磨きがしにくくなるため、虫歯や歯周病になりやすくなります
- 矯正治療後の保定が不十分だと後戻り(元の位置に戻ろうとする動き)をします
- 自費診療(保険適用外)となります
当サイトの内容、テキスト、画像等の無断転載、複製、複写、盗用を固く禁じます。



















