症例詳細
Case detail
出っ歯の治療 インビザラインで抜歯矯正 親知らずを使用した矯正
治療症例の内容
- 患者様
- 20代男性
- 矯正装置
- インビザライン
- 治療期間
- 4年
- 治療回数
- 30回以上
- 治療計画
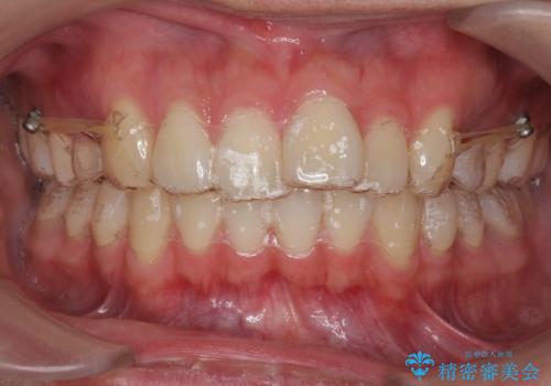
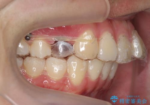
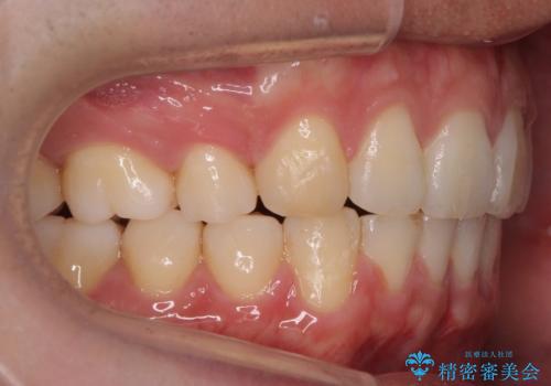
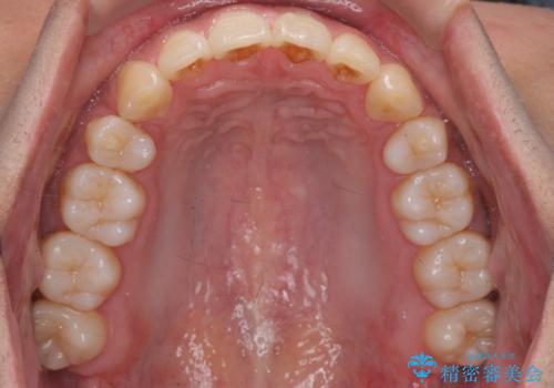
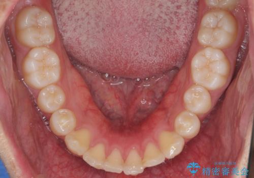
- 出っ歯を主訴に来院。
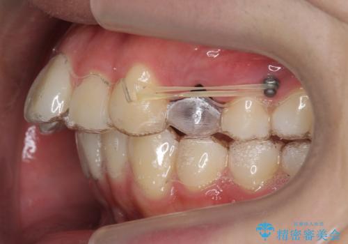
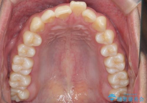
上の小臼歯を2本抜歯しています。
そのかわり、上の親知らずを生かしており、歯の本数は減っていません。
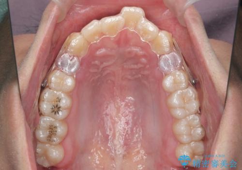
矯正用ミニスクリューを使用しています(インプラント矯正)。
- 費用(概算)
- 104.5万円費用は治療当時の料金となります
治療について
奥歯の歯ならびのずれが大きく、親知らずを抜いてすべて後ろに下げるか、手前の歯を抜いて前歯を下げるかの2択でした。
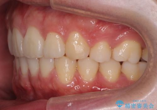
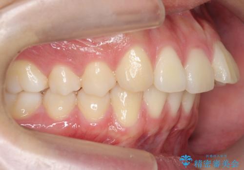
時間はかかりましたがしっかり前歯を下げて治療しています。
マウスピース矯正の注意事項(リスク・副作用など)
- 口腔内・歯並びの状態によっては対応できない場合があります
- マウスピース型矯正装置の長時間装着(1日20時間以上)が必須です
- 治療計画通りに進めるためには、患者様の意志が重要になります
- 矯正治療後の保定が不十分だと後戻り(元の位置に戻ろうとする動き)をします
- 薬機法対象外の矯正歯科装置のため医薬品副作用被害救済制度の対象外となる場合があります
- 自費診療(保険適用外)となります
当サイトの内容、テキスト、画像等の無断転載、複製、複写、盗用を固く禁じます。





















