症例詳細
Case detail
破折して抜歯が必要となった奥歯 オールセラミックブリッジ治療
治療症例の内容
- 担当医
- 藤巻太一朗(ドクタープロフィール)
- 患者様
- 40代女性
- 治療期間
- 6ヶ月
- 治療回数
- 5-10回
- 治療計画
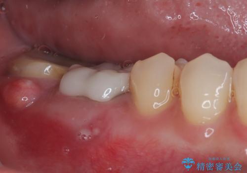
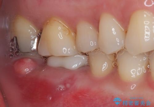
- 奥歯から膿が出てくることを気にして来院された患者様です。
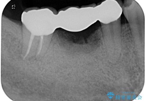
診察より、奥から2番目の歯が割れている可能性が非常に高いため、まずは奥から2番目の歯の状態を診断することとしました。
クラウンを外したところ、目視でも確認できる破折線が認められたため、抜歯することとしました。
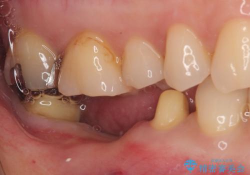
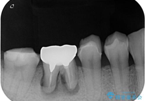
抜歯後も膿の出口が消えず、一番奥の歯を診察したところ神経組織の反応がなかったため、根管治療を行うこととしました。
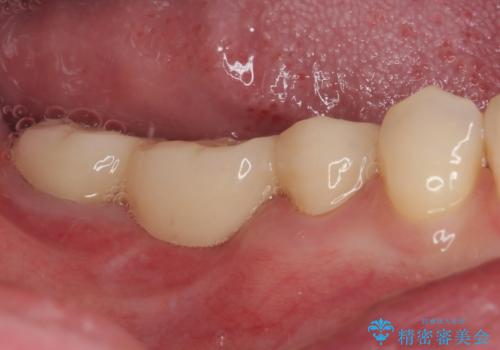
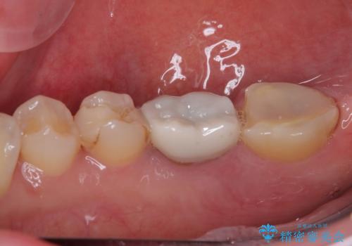
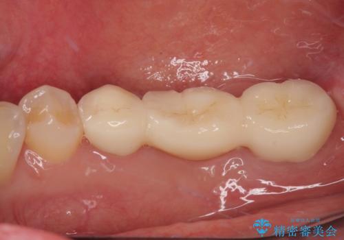
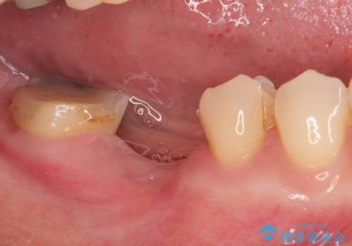
再度の歯を根管治療したため、抜歯した部位の補綴治療は、強度の問題からブリッジよりもインプラントをおすすめしましたが、患者様希望によりブリッジを選択しました。
一番奥の歯は歯肉から露出している高さが少なく、クラウンを装着する不十分であったため、歯冠長延長術を行うこととしました。
- 費用(概算)
- 治療費の目安: 60万円(税込)費用は治療当時の料金となります
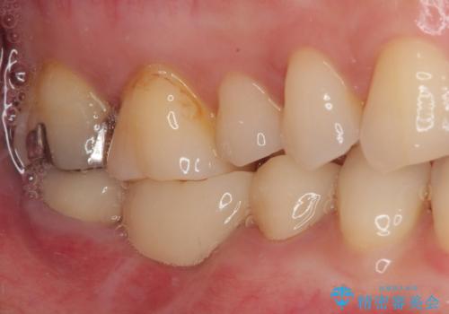
治療について
根管治療を行った奥歯をブリッジの支台歯としているため、咬合力による負担を軽減するために、就寝時にマウスピースを装着するように指導しています。
セラミック治療の注意事項(リスク・副作用など)
- 天然歯を削ります
- 硬い素材は天然歯を傷つけてしまう場合があります
- かみ合わせや歯ぎしりが強すぎる方はセラミックが割れてしまう可能性があります
- 自費診療(保険適用外治療)となります
歯周病治療の注意事項(リスク・副作用など)
- 外科手術のため、術後に痛みや腫れ、違和感を伴います
- 歯周組織再生治療は患者様の状態によって術後の経過が異なります(見た目が改善しない場合もあります)
- 歯周組織再生治療は自費診療(保険適用外)となります
根管治療の注意事項(リスク・副作用など)
- 根管治療により類似の全ての症例の問題が解決するわけではなく、症例はあくまでも一例です
- 根管治療により痛みや腫れがひかない事や、術後に痛みや腫れが生じる事、治療によるファイル破折やパーフォレーションなどの偶発症、術後の歯根破折を生じる可能性もあります
- 自費診療(保険適用外)となります
当サイトの内容、テキスト、画像等の無断転載、複製、複写、盗用を固く禁じます。
















