症例詳細
Case detail
奥歯がぐらぐらする インプラントによる補綴治療
治療症例の内容
- 治療カテゴリ
- 担当医
- 藤巻太一朗(ドクタープロフィール)
- 患者様
- 20代女性
- 治療期間
- 6ヶ月
- 治療回数
- 5-10回
- 治療計画
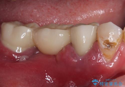
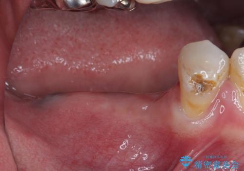
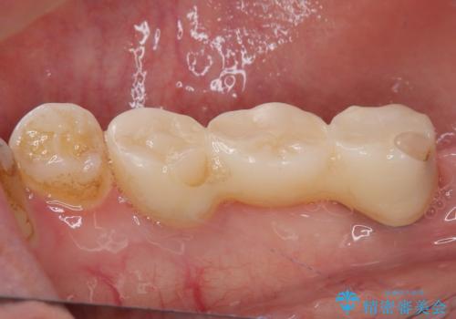
- ブリッジが装着されている奥歯がぐらぐらするとのことで来院された患者様です。
診察を行ったところ、手前の歯は歯根が破折しており、抜歯が必要な状態でした。
左右ともに臼歯部しか咬んでおらず、ブリッジの手前側の歯が破折したことで大きく揺さぶられてしまい、奥側の歯も周辺の歯が著しく吸収し、抜歯が必要な状態でした。
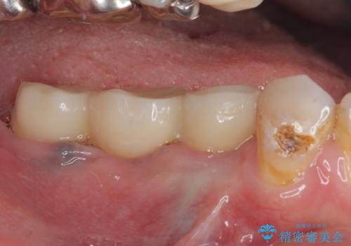
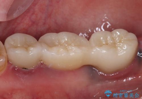
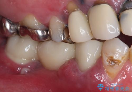
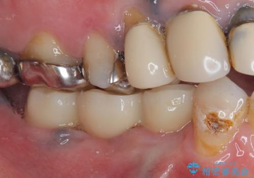
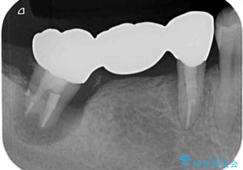
ブリッジの支台歯2本を抜歯し、反対側の咬合負担を軽減するために、通常よりも短い待機時間で2本のインプラントを埋入することとしました。
- 費用(概算)
- 治療費の目安: 100万円(税込)費用は治療当時の料金となります
治療について
インプラントは、根管治療をした歯と比べると、破折するリスクは圧倒的に低いですが、こちらの方のように、臼歯しか咬合していない場合、歯ぎしりによる負担でインプラント周辺の骨が吸収する可能性があります。
就寝時のマウスピースの装着と定期的な通院によるレントゲン撮影や咬み合わせのチェックが必須となります。
インプラント治療の注意事項(リスク・副作用など)
- 外科手術のため、術後に痛みや腫れ、違和感を伴います
- メンテナンスを怠ったり喫煙により、お口の中に大きな悪影響を及ぼすインプラント周囲炎等にかかる可能性があります
- 糖尿病、肝硬変、心臓病等の場合、インプラント治療ができない可能性があります
- 高血圧、貧血・不整脈等の場合、インプラント治療後に治癒不全を招く可能性があります
- 自費診療(保険適用外治療)となります
セラミック治療の注意事項(リスク・副作用など)
- 天然歯を削ります
- 硬い素材は天然歯を傷つけてしまう場合があります
- かみ合わせや歯ぎしりが強すぎる方はセラミックが割れてしまう可能性があります
- 自費診療(保険適用外治療)となります
当サイトの内容、テキスト、画像等の無断転載、複製、複写、盗用を固く禁じます。














