症例詳細
Case detail
右上小臼歯の捻転を改善|インビザラインと部分ワイヤー矯正のコンビネーション治療
治療症例の内容
- 診療科目
- 治療カテゴリ
- 担当医
- 河口智英(ドクタープロフィール)
- 患者様
- 20代女性
- 矯正装置
- インビザライン
- 治療期間
- 2年
- 治療回数
- 10-30回
- 治療計画
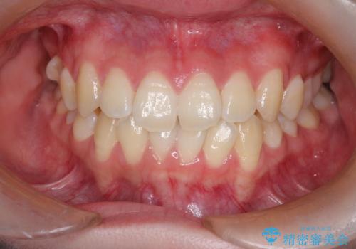
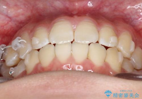
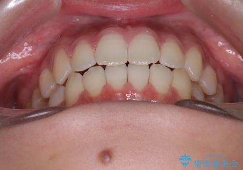
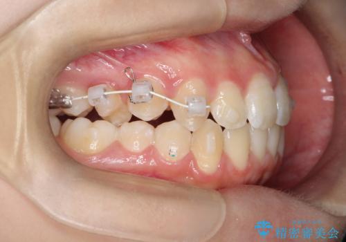
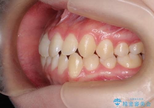
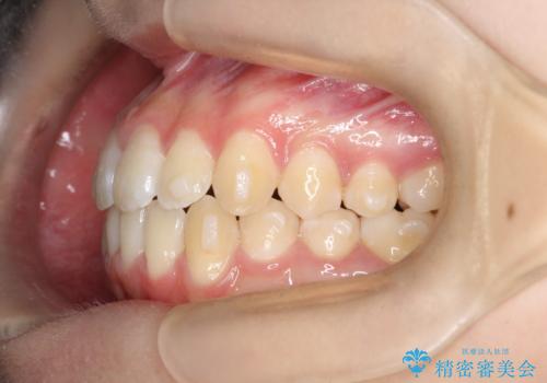
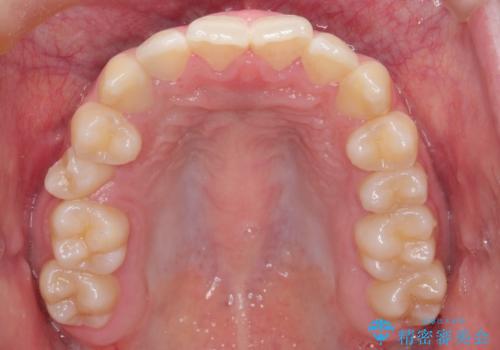
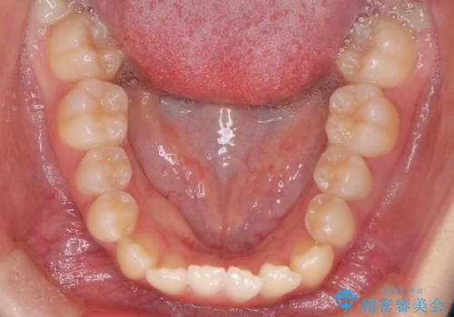
- 右上の小臼歯が大きくねじれており、噛み合わせや見た目に影響を与えている状態でした。診察の結果、インビザライン単独では十分な回転が得られにくいと判断。そのため、基本的な歯列の移動はインビザラインで行いながら、部分的にワイヤー矯正を併用するコンビネーション治療を計画しました。
- 費用(概算)
- 90万円費用は治療当時の料金となります
治療について
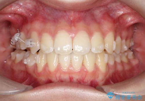
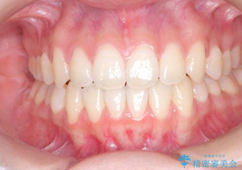
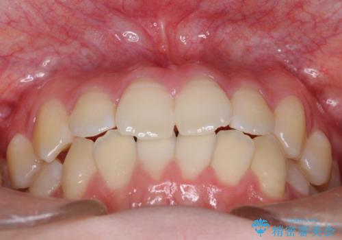
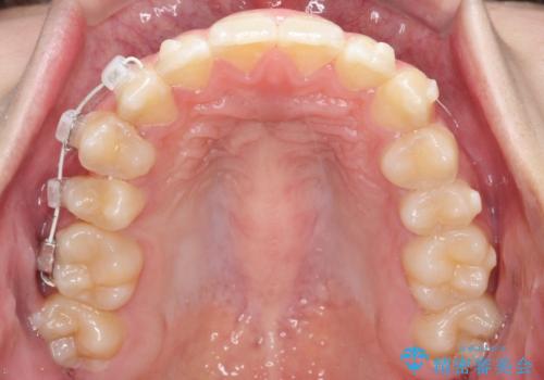
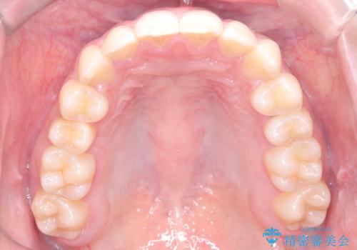
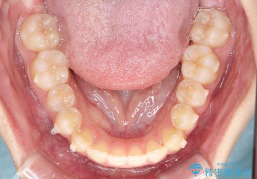
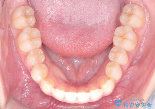
まず、インビザラインで歯列全体を整えながら、スペースを確保しました。その後、部分ワイヤーを装着し、右上小臼歯の捻転を効率よく改善。ワイヤーの力を活用することで、より確実に歯の向きを整えることができました。治療後は、「しっかり噛めるようになり、見た目も自然になった」と患者様にもご満足いただきました。
マウスピース矯正の注意事項(リスク・副作用など)
- 口腔内・歯並びの状態によっては対応できない場合があります
- マウスピース型矯正装置の長時間装着(1日20時間以上)が必須です
- 治療計画通りに進めるためには、患者様の意志が重要になります
- 矯正治療後の保定が不十分だと後戻り(元の位置に戻ろうとする動き)をします
- 薬機法対象外の矯正歯科装置のため医薬品副作用被害救済制度の対象外となる場合があります
- 自費診療(保険適用外)となります
当サイトの内容、テキスト、画像等の無断転載、複製、複写、盗用を固く禁じます。


















