症例詳細
Case detail
モニター|歯のでこぼこと前歯が引っ込んでいるのを治したい|抜歯矯正で歯のデコボコと正中を改善|ワイヤー矯正
治療症例の内容
- 診療科目
- 治療カテゴリ
- 担当医
- 河野豊嘉(ドクタープロフィール)
- 患者様
- 30代男性
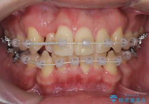
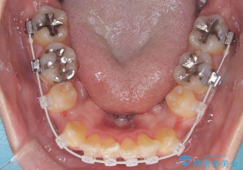
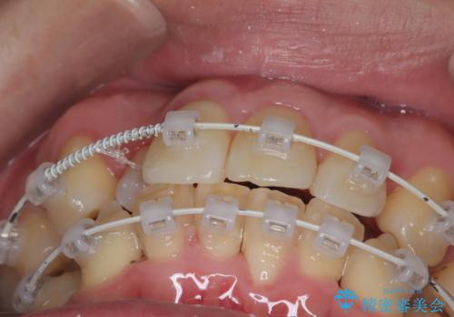
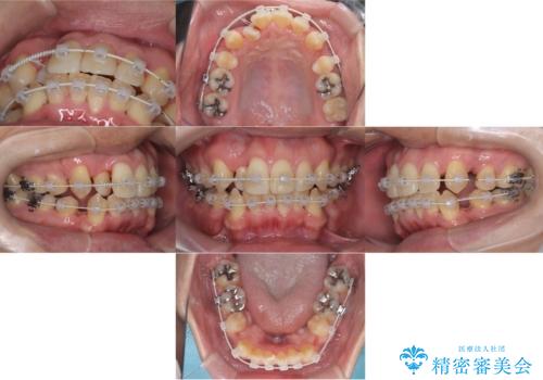
- 矯正装置
- ワイヤー(審美装置)
- 治療期間
- 2年2ヶ月
- 治療回数
- 10-30回
- 治療計画
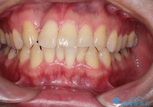
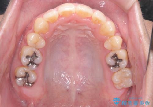
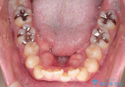
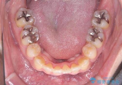
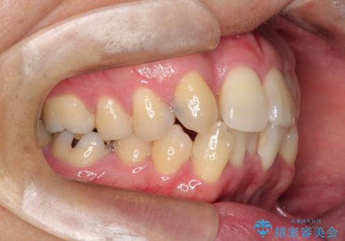
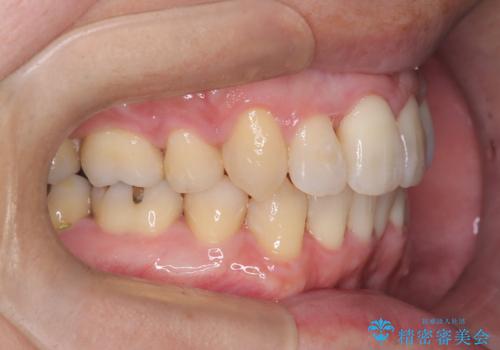
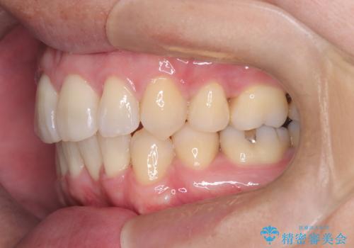
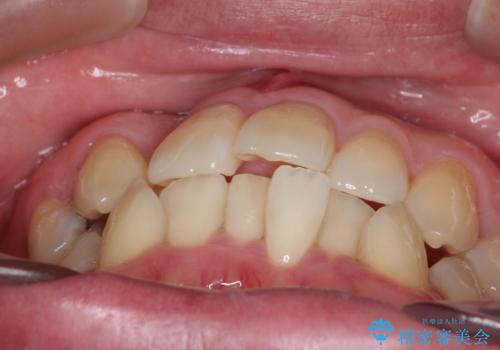
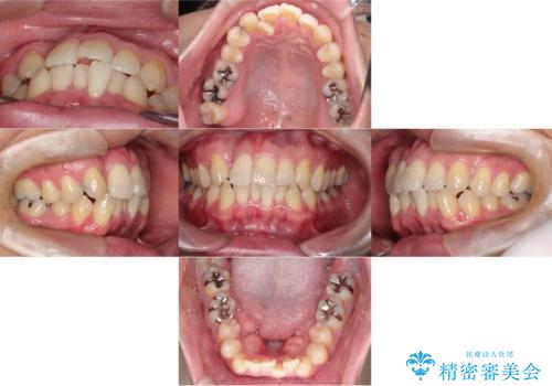
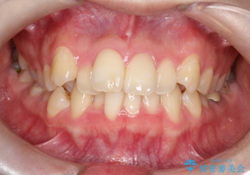
- 「歯のデコボコと前歯が引っ込んでいるのを治したい」を主訴に来院された患者様です。
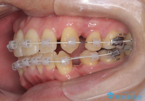
デコボコの量が多かったため上下左右4を抜歯してワイヤー矯正で治療を行いました。
- 費用(概算)
- 858000円 税込 モニター価格費用は治療当時の料金となります
治療について
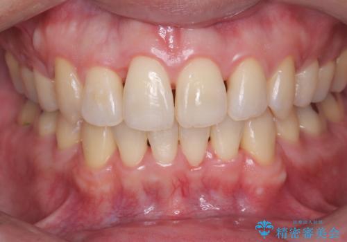
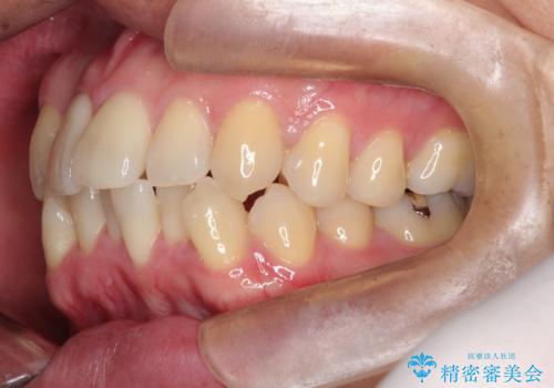
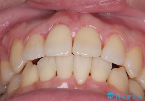
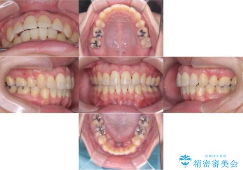
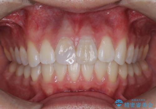
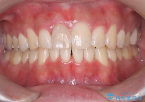
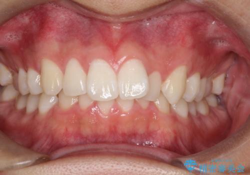
正面から見たときに右上2が全く見えないくらい、右上2が後ろに引っ込んでいる状態でしたが綺麗に並べる事が出来ました。
笑った時のスマイルラインもかなり綺麗になり大変ご満足いただく事が出来ました。
スムーズに治療を進める事ができ、2年2か月で治療をお終えました。
顔貌に対して歯の正中も合いました。
ワイヤー矯正の注意事項(リスク・副作用など)
- 治療中は違和感や痛みが起こることがあります
- 症状により、抜歯が必要な場合があります
- 治療中は歯磨きがしにくくなるため、虫歯や歯周病になりやすくなります
- 矯正治療後の保定が不十分だと後戻り(元の位置に戻ろうとする動き)をします
- 自費診療(保険適用外)となります
当サイトの内容、テキスト、画像等の無断転載、複製、複写、盗用を固く禁じます。































