症例詳細
Case detail
インビザラインで八重歯を抜歯矯正|ゴムかけを活用し美しい歯並びへ
治療症例の内容
- 診療科目
- 治療カテゴリ
- 担当医
- 河口智英(ドクタープロフィール)
- 患者様
- 20代女性
- 矯正装置
- インビザライン
- 治療期間
- 2年
- 治療回数
- 10-30回
- 治療計画
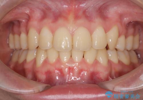
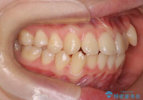
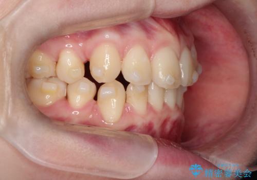
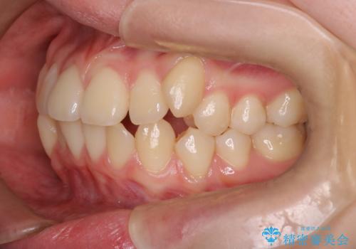
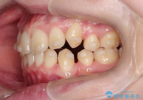
- 八重歯が気になるとのことでご相談いただきました。診察すると、歯列のスペース不足により犬歯が外側に飛び出している状態でした。このままでは歯を並べるスペースが足りないため、抜歯矯正が必要と判断。治療は目立ちにくいインビザラインで行い、歯の移動をサポートするためにゴムかけ(顎間ゴム)を併用する計画を立てました。
- 費用(概算)
- 90万円費用は治療当時の料金となります
治療について
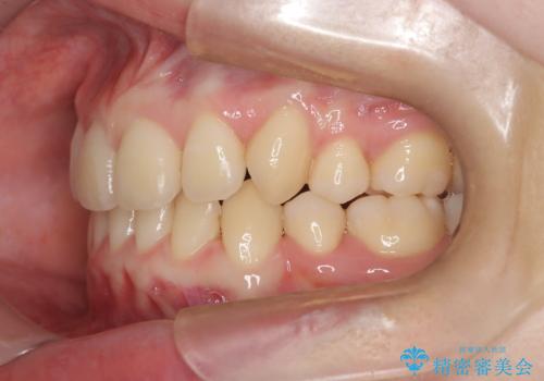
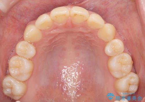
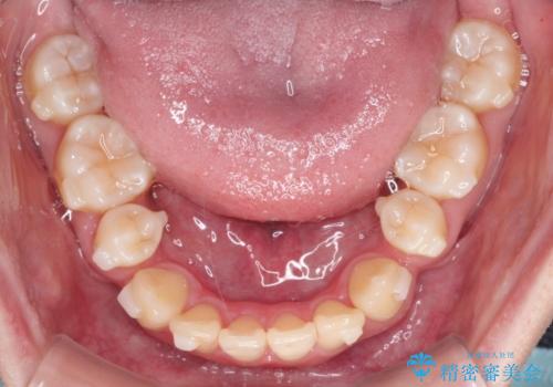
抜歯後、インビザラインを用いて少しずつ歯を移動させ、空いたスペースに八重歯を整列させました。さらに、ゴムかけを行うことで上下の噛み合わせを適切に調整。治療後は、八重歯が綺麗に並び、バランスの取れた歯並びと自然な噛み合わせを実現できました。患者様にも「仕上がりがとても綺麗で、口元の印象が変わった」とご満足いただきました。
マウスピース矯正の注意事項(リスク・副作用など)
- 口腔内・歯並びの状態によっては対応できない場合があります
- マウスピース型矯正装置の長時間装着(1日20時間以上)が必須です
- 治療計画通りに進めるためには、患者様の意志が重要になります
- 矯正治療後の保定が不十分だと後戻り(元の位置に戻ろうとする動き)をします
- 薬機法対象外の矯正歯科装置のため医薬品副作用被害救済制度の対象外となる場合があります
- 自費診療(保険適用外)となります
当サイトの内容、テキスト、画像等の無断転載、複製、複写、盗用を固く禁じます。















