症例詳細
Case detail
「インビザラインで八重歯をきれいに改善|遠心移動とIPRでバランスの良い歯並びへ」
治療症例の内容
- 診療科目
- 治療カテゴリ
- 担当医
- 河口智英(ドクタープロフィール)
- 患者様
- 20代男性
- 治療期間
- 1年6ヶ月
- 治療回数
- 10-30回
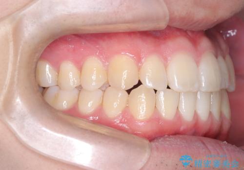
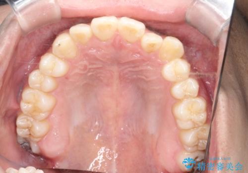
- 治療計画
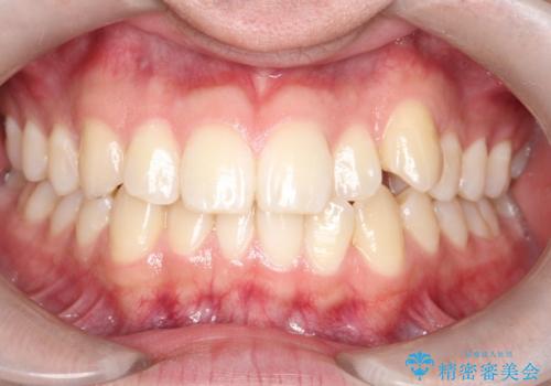
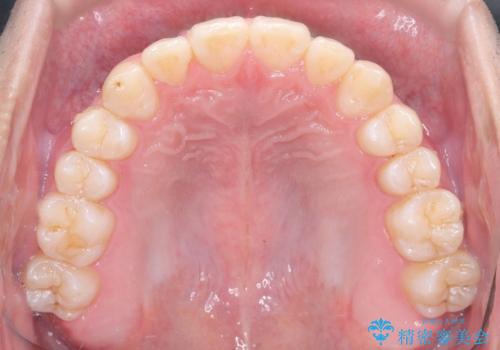
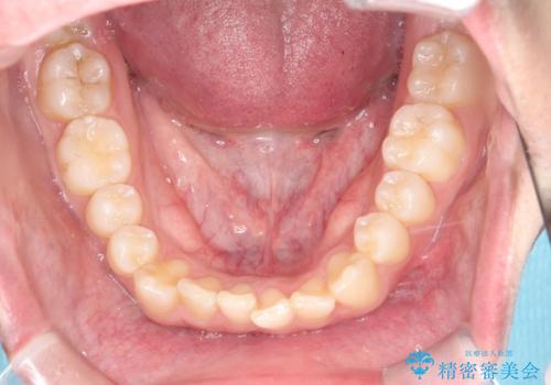
- 八重歯が気になるとのことでご来院されました。お口の中を確認すると、上の前歯がスペース不足で押し出され、少し前に出ている状態でした。抜歯せずに整えるため、奥歯を少しずつ後ろに動かしながら(遠心移動)、歯と歯の間をわずかに削るIPRを行ってスペースを作ることにしました。また、上下の噛み合わせを整えるために2級ゴム(エラスティック)を使用する方針を立てました。
- 費用(概算)
- 80万円費用は治療当時の料金となります
治療について
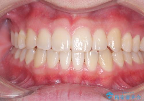
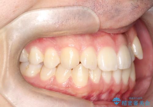
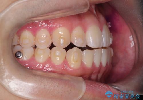
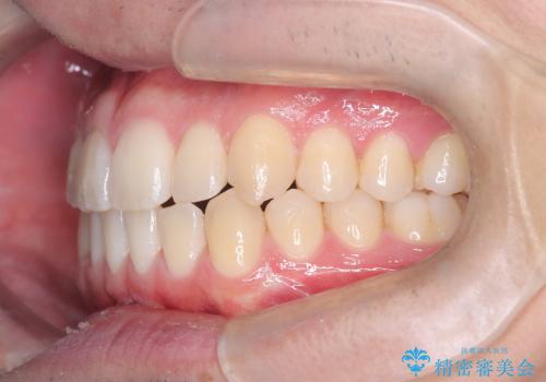
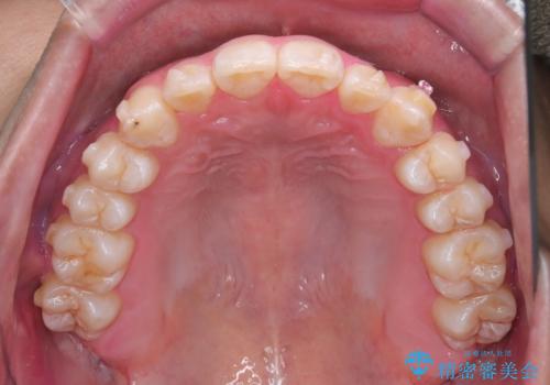
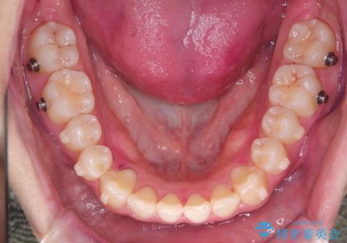
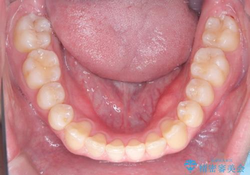
マウスピースを段階的に交換しながら、奥歯を少しずつ後ろへ動かし、八重歯がきれいに並ぶよう調整しました。前歯の突出感を抑えるためにIPRを行い、スムーズに配列。さらに、2級ゴムを活用して噛み合わせも改善しました。治療後は、自然な歯並びになり、笑顔に自信が持てるようになったと喜んでいただきました。
マウスピース矯正の注意事項(リスク・副作用など)
- 口腔内・歯並びの状態によっては対応できない場合があります
- マウスピース型矯正装置の長時間装着(1日20時間以上)が必須です
- 治療計画通りに進めるためには、患者様の意志が重要になります
- 矯正治療後の保定が不十分だと後戻り(元の位置に戻ろうとする動き)をします
- 薬機法対象外の矯正歯科装置のため医薬品副作用被害救済制度の対象外となる場合があります
- 自費診療(保険適用外)となります
当サイトの内容、テキスト、画像等の無断転載、複製、複写、盗用を固く禁じます。















