症例詳細
Case detail
「セラミックインレーで虫歯治療|精密な適合で再発リスクを軽減」
治療症例の内容
- 診療科目
- 治療カテゴリ
- 担当医
- 河口智英(ドクタープロフィール)
- 患者様
- 20代女性
- 治療期間
- 1ヶ月
- 治療回数
- 2-5回
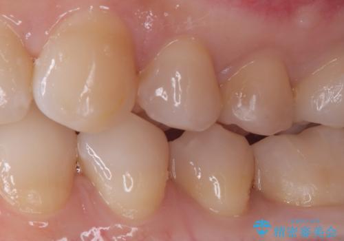
- 治療計画
- 患者様は虫歯治療を希望されて来院されました。診査の結果、小さな虫歯が確認されましたが、歯の大部分は健康な状態だったため、歯をできるだけ削らず、適合の良いセラミックインレーで治療する方針を立てました。セラミックインレーは、天然歯に近い見た目と強度を持ち、適合性が高いため、二次虫歯のリスクを抑えることができます。
- 費用(概算)
- 77000円費用は治療当時の料金となります
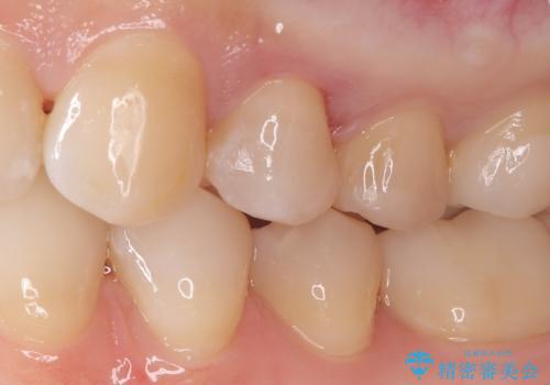
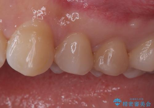
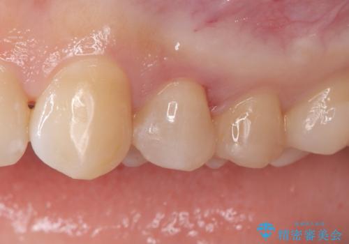
治療について
虫歯を取り除いた後、精密な型取りを行い、適合性の高いセラミックインレーを作製しました。セラミックはプラークが付きにくく、変色の心配も少ないため、長期的に安定した状態を維持できます。しっかりと接着することで、隙間ができにくく、虫歯の再発リスクを低減しました。治療後、患者様からは「噛み心地が自然で、見た目もきれい」とご満足いただきました。
セラミック治療の注意事項(リスク・副作用など)
- 天然歯を削ります
- 硬い素材は天然歯を傷つけてしまう場合があります
- かみ合わせや歯ぎしりが強すぎる方はセラミックが割れてしまう可能性があります
- 自費診療(保険適用外治療)となります
当サイトの内容、テキスト、画像等の無断転載、複製、複写、盗用を固く禁じます。







