症例詳細
Case detail
前歯のセラミッククラウン 詰め物が取れた
治療症例の内容
- 診療科目
- 治療カテゴリ
- 担当医
- 瀧村怜未(ドクタープロフィール)
- 患者様
- 40代女性
- 治療期間
- 1ヶ月
- 治療回数
- 2-5回
- 治療計画
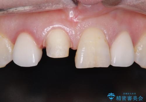
- 主訴:詰め物が取れた。
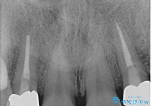
2日前に詰め物が取れ来院されました。中で虫歯が広がっている状態でした。歯科の治療が少し怖いとのことで静脈内鎮静を希望されました。
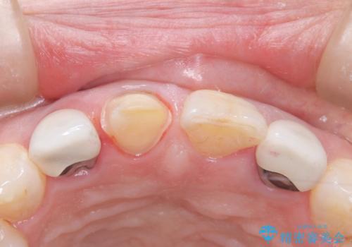
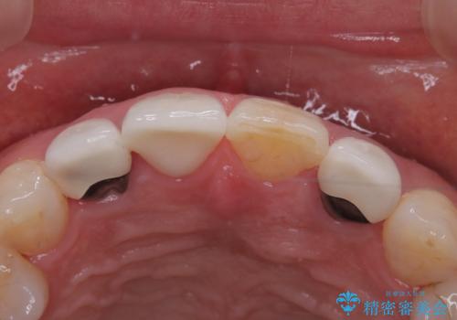
隣と同じように白くしたい、再治療を減らしたいとのことで、セラミッククラウン(スペシャル)で治療することとなりました。
- 費用(概算)
- 242,000円(仮歯1.1万円+オールセラミッククラウン15.4万円+静脈内鎮静7.7万円)費用は治療当時の料金となります
治療について
治療回数を減らしたかったため、虫歯をとり形成を行い仮歯への置き換えとともに型どりを行いました。
セラミック治療の注意事項(リスク・副作用など)
- 天然歯を削ります
- 硬い素材は天然歯を傷つけてしまう場合があります
- かみ合わせや歯ぎしりが強すぎる方はセラミックが割れてしまう可能性があります
- 自費診療(保険適用外治療)となります
当サイトの内容、テキスト、画像等の無断転載、複製、複写、盗用を固く禁じます。








