症例詳細
Case detail
前歯の見た目が気になる|オールセラミッククラウンで見た目を改善
治療症例の内容
- 診療科目
- 治療カテゴリ
- 担当医
- 河野豊嘉(ドクタープロフィール)
- 患者様
- 50代女性
- 治療期間
- 1ヶ月
- 治療回数
- 2-5回
- 治療計画
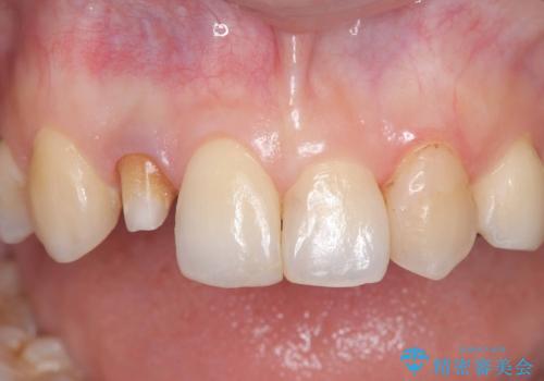
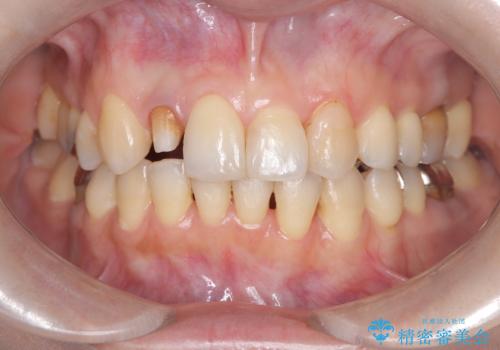
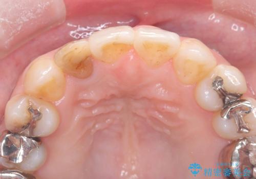
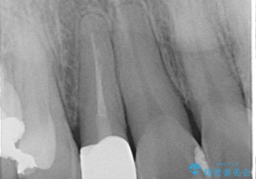
- 「前歯の見た目が気になる」を主訴に来院された患者様です。
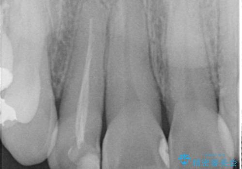
失活歯による歯の変色とCR(コンポジットレジン)の劣化による審美不良でした。
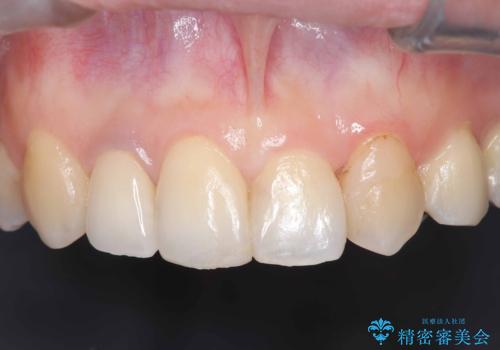
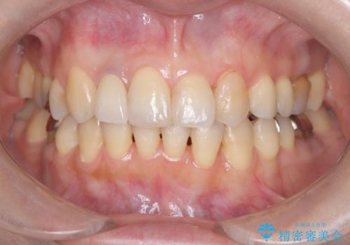
オールセラミッククラウンで治療し見た目の改善を行いました。
- 費用(概算)
- 16.5万円 (仮歯1.1万円+オールセラミッククラウン15.4万円) 税込費用は治療当時の料金となります
治療について
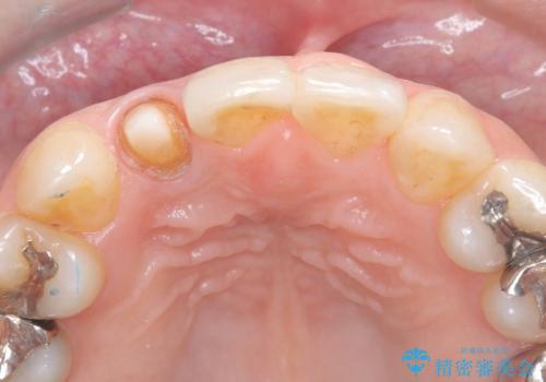
まず劣化したCRと虫歯を除去した後、仮歯に置き換えました。歯のマージンラインを綺麗に削り光沢が出るまで研磨した後にオールセラミッククラウンの型取りを行っています。
セラミック治療の注意事項(リスク・副作用など)
- 天然歯を削ります
- 硬い素材は天然歯を傷つけてしまう場合があります
- かみ合わせや歯ぎしりが強すぎる方はセラミックが割れてしまう可能性があります
- 自費診療(保険適用外治療)となります
当サイトの内容、テキスト、画像等の無断転載、複製、複写、盗用を固く禁じます。













