症例詳細
Case detail
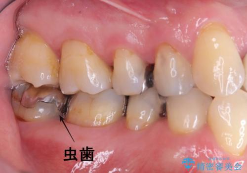
【オールセラミッククラウン】銀歯の下が虫歯に!
治療症例の内容
- 診療科目
- 治療カテゴリ
- 担当医
- 河野豊嘉(ドクタープロフィール)
- 患者様
- 60代男性
- 治療期間
- 1ヶ月
- 治療回数
- 2-5回
- 治療計画
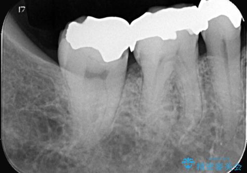
- 当院にメインテナンスで通っていただいている患者様です。銀歯の下の虫歯が大きくなってきたので、治療を行いました。
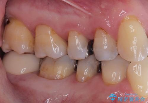
銀歯を外し虫歯を除去後、オールセラミッククラウンで治療を行いました。
- 費用(概算)
- 132,000円(仮歯11,000円+オールセラミッククラウンスタンダード121,000円)費用は治療当時の料金となります
治療について
銀歯は錆びる金属が使用されており、型取りの材料も変形がある材料になってしまうので、再び虫歯になってしまっている患者さんが沢山おられます。
当院は適合にこだわったセラッミク治療を行っているので、虫歯の再発のリスクを大きく下げる事が可能です。
セラミック治療の注意事項(リスク・副作用など)
- 天然歯を削ります
- 硬い素材は天然歯を傷つけてしまう場合があります
- かみ合わせや歯ぎしりが強すぎる方はセラミックが割れてしまう可能性があります
- 自費診療(保険適用外治療)となります
当サイトの内容、テキスト、画像等の無断転載、複製、複写、盗用を固く禁じます。







