症例詳細
Case detail
前歯の色が気になる。オールセラミッククラウンでのやり替え
治療症例の内容
- 診療科目
- 治療カテゴリ
- 担当医
- 岡田康成(ドクタープロフィール)
- 患者様
- 30代男性
- 治療期間
- 1ヶ月
- 治療回数
- 2-5回
- 治療計画
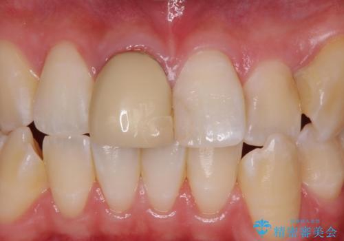
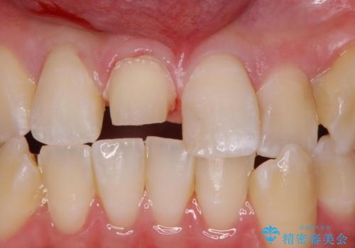
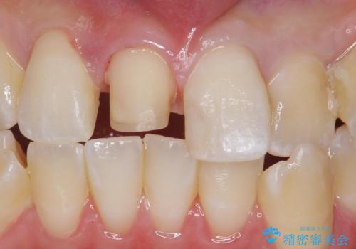
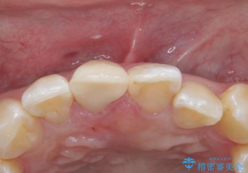
- 前歯のかぶせ物の色が気になるとのことで来院された患者様です。
セラミッククラウンで作り変えていきます。
- 費用(概算)
- 右上1: 仮歯/11,000円、ジルコニアクラウン(スタンダード)/121,000円 合計132,000円(税込)費用は治療当時の料金となります
治療について
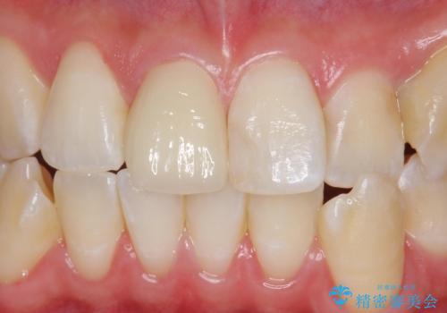
色・形ともに改善され、大変喜んでいただけました。
セラミック治療の注意事項(リスク・副作用など)
- 天然歯を削ります
- 硬い素材は天然歯を傷つけてしまう場合があります
- かみ合わせや歯ぎしりが強すぎる方はセラミックが割れてしまう可能性があります
- 自費診療(保険適用外治療)となります
当サイトの内容、テキスト、画像等の無断転載、複製、複写、盗用を固く禁じます。













