症例詳細
Case detail
前歯の形と変色が気になる。 ジルコニアクラウンでの修復処置
治療症例の内容
- 診療科目
- 治療カテゴリ
- 担当医
- 岡田康成(ドクタープロフィール)
- 患者様
- 30代女性
- 治療期間
- 1ヶ月
- 治療回数
- 2-5回
- 治療計画
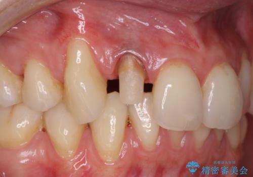
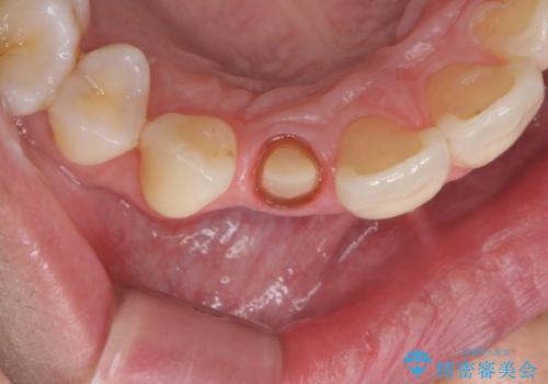
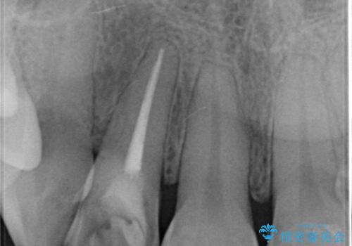
- 右上前歯の形と色が気になるとのことで来院された患者様です。
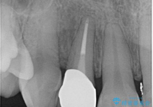
残っている歯に亀裂が多く走っていたため、クラウンでの修復処置を行います。
- 費用(概算)
- 右上2 仮歯/11,000円 ファイバーコア/22,000円 ジルコニアクラウン(スタンダード)/121,000円 合計154,000円費用は治療当時の料金となります
治療について
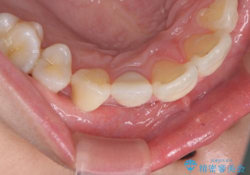
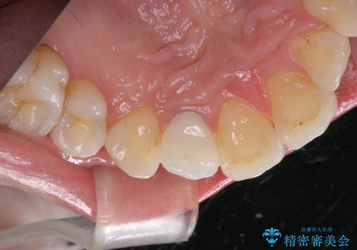
歯ぐきの扱いに気を付けることで、術前よりも歯ぐきの位置が改善されました。
セラミック治療の注意事項(リスク・副作用など)
- 天然歯を削ります
- 硬い素材は天然歯を傷つけてしまう場合があります
- かみ合わせや歯ぎしりが強すぎる方はセラミックが割れてしまう可能性があります
- 自費診療(保険適用外治療)となります
当サイトの内容、テキスト、画像等の無断転載、複製、複写、盗用を固く禁じます。









