症例詳細
Case detail
前歯のがたつきをすっきり マウスピース矯正
治療症例の内容
- 診療科目
- 治療カテゴリ
- 担当医
- 大元洋佑(ドクタープロフィール)
- 患者様
- 30代女性
- 矯正装置
- インビザライン
- 治療期間
- 1年2ヶ月
- 治療回数
- 10-30回
- 治療計画
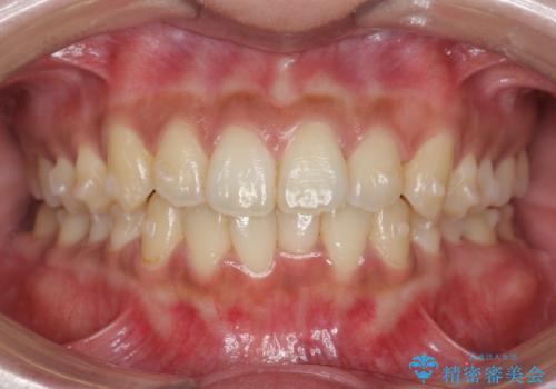
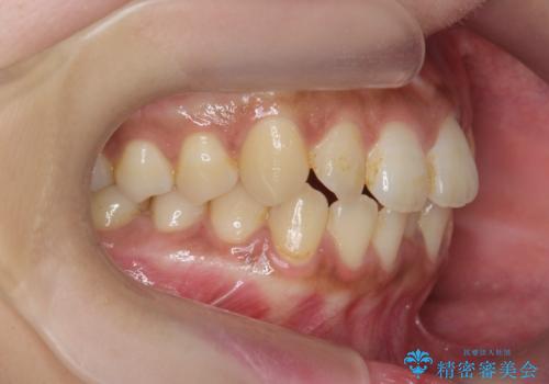
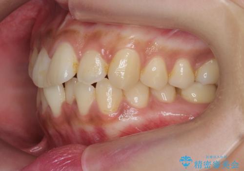
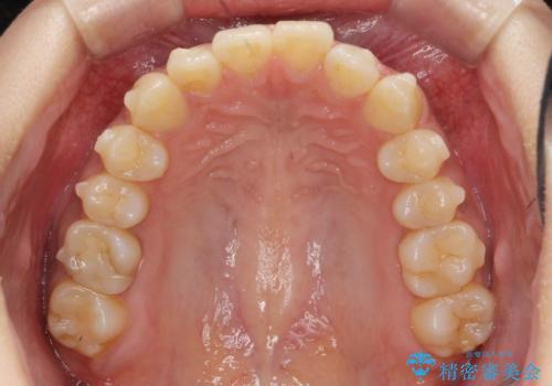
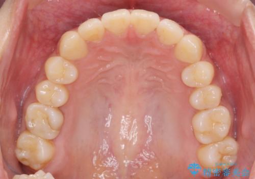
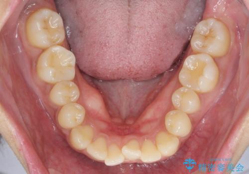
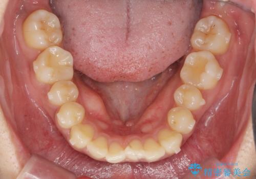
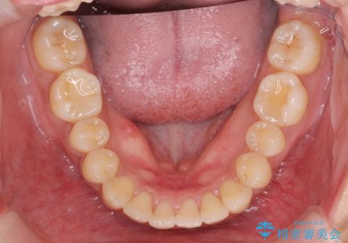
- 長年気になっていた前歯のがたつきをマウスピース矯正で治したい!と希望され来院されました。
奥歯の噛み合わせには問題がなく、前歯のがたつきの改善のみで十分に審美的な結果が得られるため、ワイヤーではなくマウスピース矯正での治療を計画します。
- 費用(概算)
- 77万円費用は治療当時の料金となります
治療について
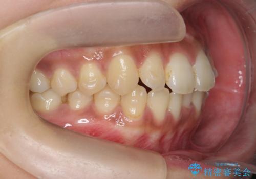
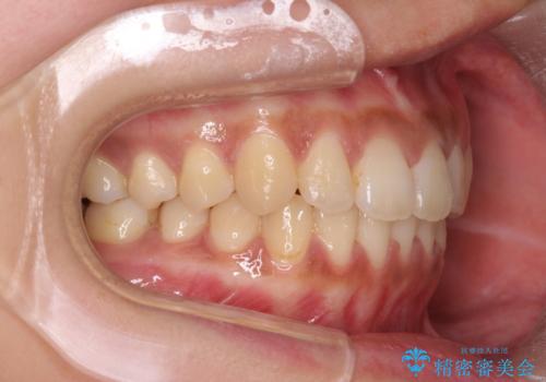
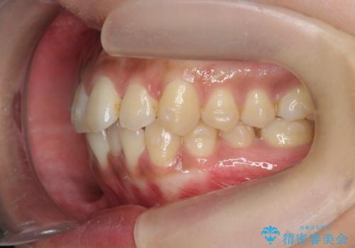
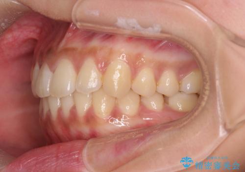
しっかりと前歯のがたつきは改善し見た目が大きく良くすることができました。
マウスピース矯正の注意事項(リスク・副作用など)
- 口腔内・歯並びの状態によっては対応できない場合があります
- マウスピース型矯正装置の長時間装着(1日20時間以上)が必須です
- 治療計画通りに進めるためには、患者様の意志が重要になります
- 矯正治療後の保定が不十分だと後戻り(元の位置に戻ろうとする動き)をします
- 薬機法対象外の矯正歯科装置のため医薬品副作用被害救済制度の対象外となる場合があります
- 自費診療(保険適用外)となります
当サイトの内容、テキスト、画像等の無断転載、複製、複写、盗用を固く禁じます。















