症例詳細
Case detail
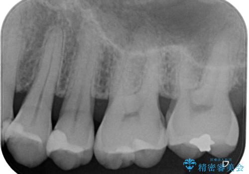
レントゲンで虫歯を発見 セラミックインレー
治療症例の内容
- 診療科目
- 治療カテゴリ
- 担当医
- 高悠莉(ドクタープロフィール)
- 患者様
- 50代男性
- 治療期間
- 1ヶ月
- 治療回数
- 2-5回
- 治療計画
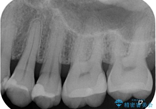
- 海外渡航前に、口腔内の悪いところを治しておきたいという患者様です。特に症状はない部位でしたが、レントゲンにて綿密にチェックしたところ、外側からは分かりにくい部分に虫歯が広がっているのを発見しました。隣の歯の金属も劣化しており、辺縁から感染を起こす恐れがあることが分かりました。一度の麻酔で一緒に治療が可能な範囲でしたので、2歯一緒にセラミック修復をいたしました。術後の経過も良好とのお電話を、わざわざ患者様からいただきました。
- 費用(概算)
- 154,000円(税込)費用は治療当時の料金となります
治療回数について
今回は、一度目に虫歯の除去と型どり、二度目にセラミック修復物のセットの計2回の治療で終了しています。一度目と二度目の間は、患者様には仮詰めを入れた状態で過ごしていただいております。
セラミック治療の注意事項(リスク・副作用など)
- 天然歯を削ります
- 硬い素材は天然歯を傷つけてしまう場合があります
- かみ合わせや歯ぎしりが強すぎる方はセラミックが割れてしまう可能性があります
- 自費診療(保険適用外治療)となります
当サイトの内容、テキスト、画像等の無断転載、複製、複写、盗用を固く禁じます。






