症例詳細
Case detail
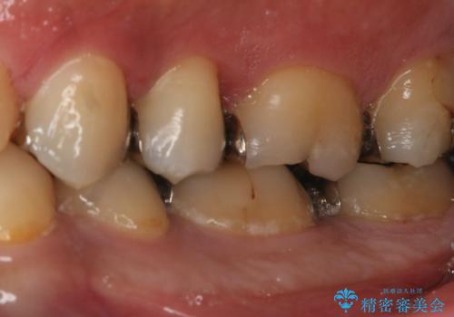
フルジルコニアクラウンによる銀歯のやり変え
治療症例の内容
- 診療科目
- 治療カテゴリ
- 担当医
- 小澤俊哉(ドクタープロフィール)
- 患者様
- 30代男性
- 治療期間
- 1ヶ月
- 治療回数
- 2-5回
- 治療計画
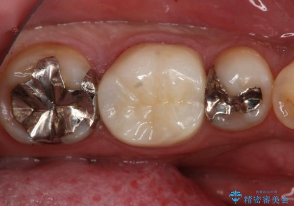
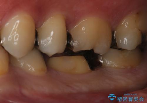
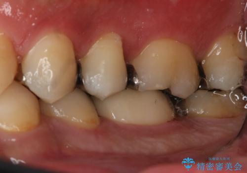
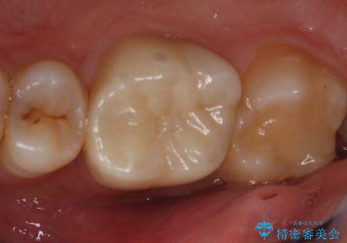
- 左下6番の銀歯が不適であったためやり変えを勧めたところセラミックでの治療を希望された患者様です。
 切削量などを考慮し、フルジルコニアクラウンでの治療を選択しました。
 う蝕が歯髄に近接していたので麻酔が切れた後に痛みなどの症状が出る可能性をお伝えしています。
- 費用(概算)
- 99000円(フルジルコニアクラウン+仮歯)費用は治療当時の料金となります
治療について
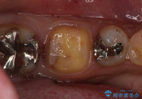
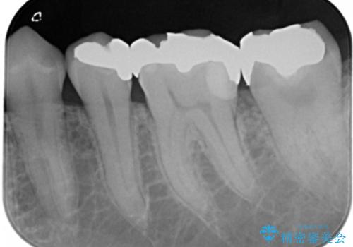
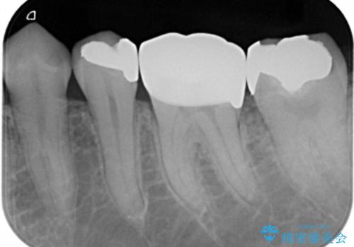
う蝕が深く切削量が多くなりましたが痛みなどは起きなかったので、予定通りフルジルコニアクラウンでの治療で進めました。
セラミック治療の注意事項(リスク・副作用など)
- 天然歯を削ります
- 硬い素材は天然歯を傷つけてしまう場合があります
- かみ合わせや歯ぎしりが強すぎる方はセラミックが割れてしまう可能性があります
- 自費診療(保険適用外治療)となります
当サイトの内容、テキスト、画像等の無断転載、複製、複写、盗用を固く禁じます。








 
                       
                                                          










 
                   
                   
                  