症例詳細
Case detail
痛みを感じる上顎大臼歯 ゴールドクラウンの補綴治療
治療症例の内容
- 診療科目
- 治療カテゴリ
- 担当医
- 藤巻太一朗(ドクタープロフィール)
- 患者様
- 40代女性
- 治療期間
- 2ヶ月
- 治療回数
- 2-5回
- 治療計画
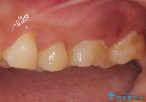
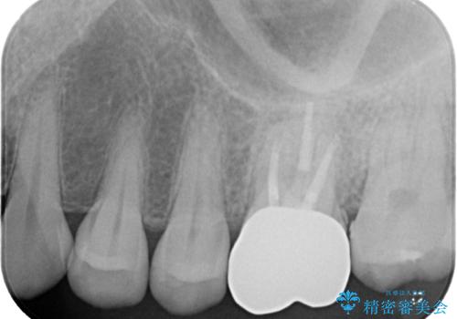
- 奥歯で咬んだときに痛みがあり、膿の出口が現れたとのことで来院された患者様です。
かかりつけ医では治療が困難と言われたとのことで当院にいらっしゃいました。
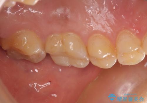
診査を行った結果、まずは根管治療を行うこととしました。
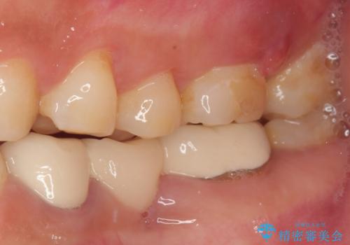
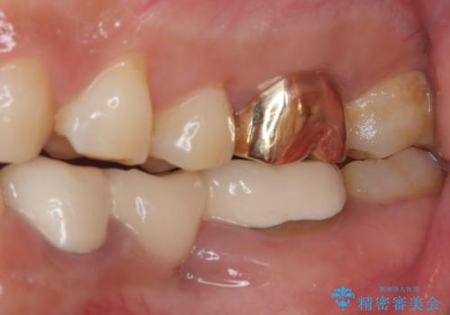
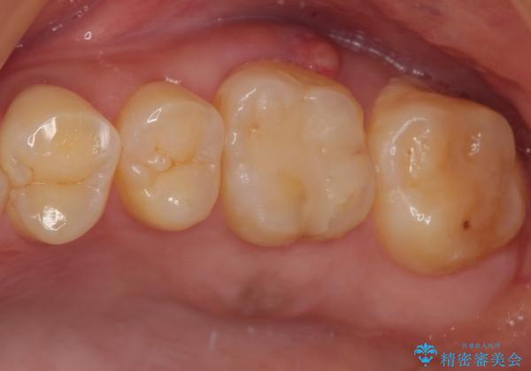
咬み合わせが非常に強く、臼歯のみに咬合力が集中している咬み合わせだったので、根管治療後はPGAクラウン(白金加金合金クラウン)にて補綴する治療計画となりました。
- 費用(概算)
- 治療費の目安: 30万円(税込)費用は治療当時の料金となります
治療について
初回の根管治療を終えた2日後には膿の出口が消失し、咬んだときの不快な痛みもなくなりました。
PGAクラウンにしたことで咬み心地に全く違和感がなく、気にされていた審美面も、奥歯でありそれほど目立たないこともありますが、白金加金の色を気に入っていただけたので、患者様には大変満足していただけました。
PGA(ゴールド)クラウン、インレーの注意事項(リスク・副作用など)
- インレーおよびクラウンは脱離するリスクがあります
- 形成量はセラミックより少ないですが、歯の形成、修復後に歯に症状が出ることがあります
- 自費診療(保険適用外治療)となります
当サイトの内容、テキスト、画像等の無断転載、複製、複写、盗用を固く禁じます。











