症例詳細
Case detail
後戻りをインビザラインでスッキリした口元に
治療症例の内容
- 診療科目
- 治療カテゴリ
- 担当医
- 藤巻太一朗(ドクタープロフィール)
- 患者様
- 20代女性
- 矯正装置
- インビザライン
- 治療期間
- 4年
- 治療回数
- 10-30回
- 治療計画
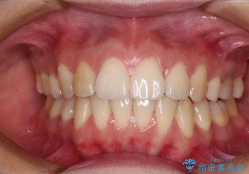
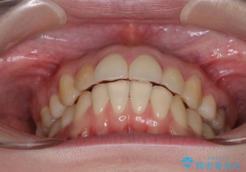
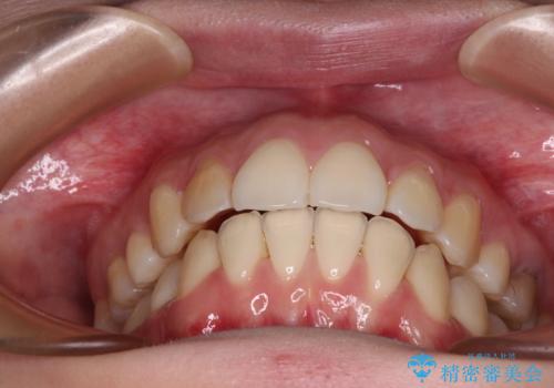
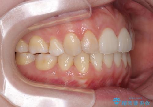
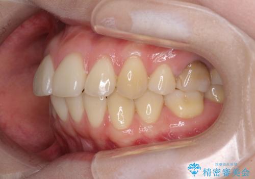
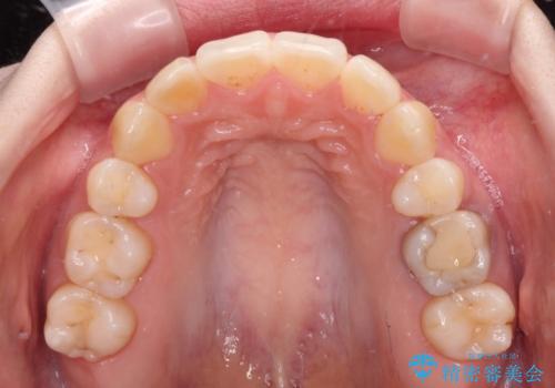
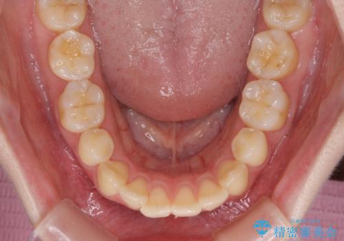
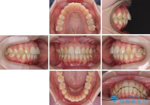
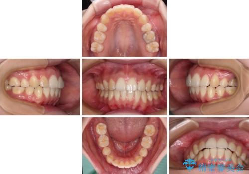
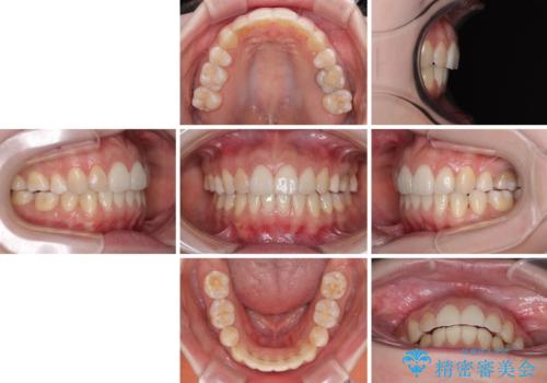
- 高校生の時に矯正治療を行ったものの、後取りをしてしまったとのことで来院された患者様です。
マウスピースでもワイヤー矯正でも対応可能でしたが、再度ワイヤーは装着したくないとのことでインビザラインにて矯正治療を行うこととしました。
インビザラインは長時間装着するための自己管理が極めて重要であり、自信はあまりないとのことでしたが、インビザラインを選択されました。
- 費用(概算)
- 治療費の目安: 90万円(税込)費用は治療当時の料金となります
治療について
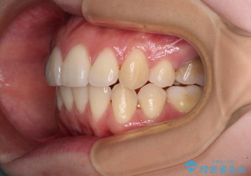
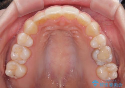
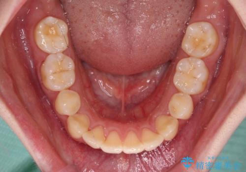
舌の突出癖が原因で後戻りをしたため、舌のトレーニングをしっかりと行っていただき、口元の突出感を改善することができました。
インビザラインの装着時間が守れず、1年強で終わる予定でしたが、4年間を要することとなりました。
マウスピース矯正の注意事項(リスク・副作用など)
- 口腔内・歯並びの状態によっては対応できない場合があります
- マウスピース型矯正装置の長時間装着(1日20時間以上)が必須です
- 治療計画通りに進めるためには、患者様の意志が重要になります
- 矯正治療後の保定が不十分だと後戻り(元の位置に戻ろうとする動き)をします
- 薬機法対象外の矯正歯科装置のため医薬品副作用被害救済制度の対象外となる場合があります
- 自費診療(保険適用外)となります
当サイトの内容、テキスト、画像等の無断転載、複製、複写、盗用を固く禁じます。

























