症例詳細
Case detail
- 患者様
- 20代女性
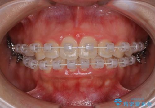
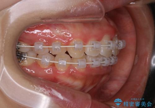
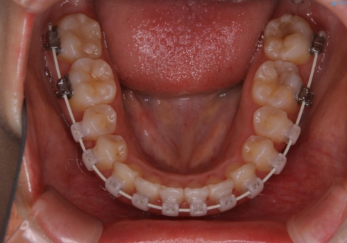
- 矯正装置
- ワイヤー審美装置
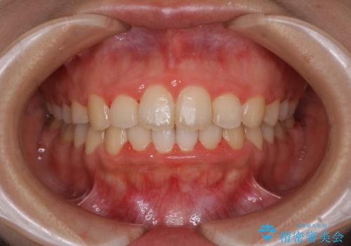
- 治療期間
- 7ヶ月
- 治療回数
- 10-30回
- 治療計画
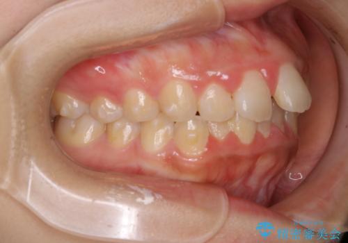
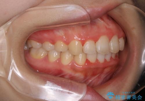
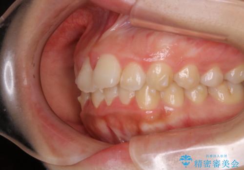
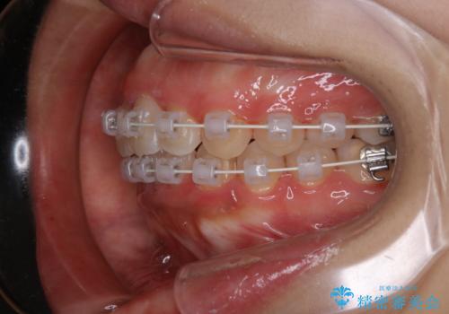
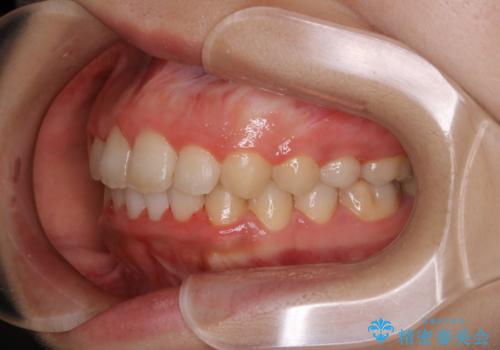
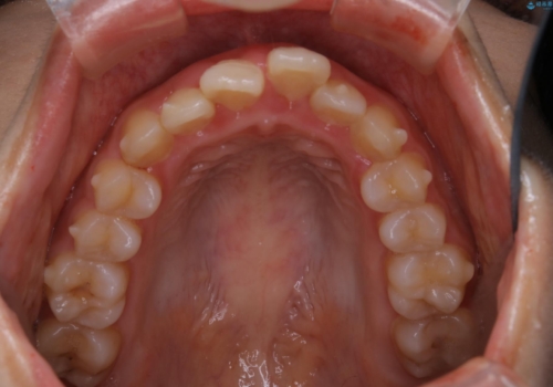
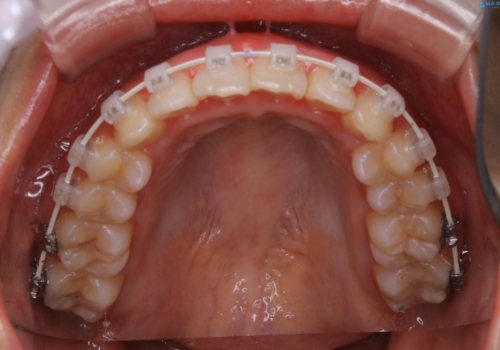
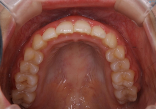
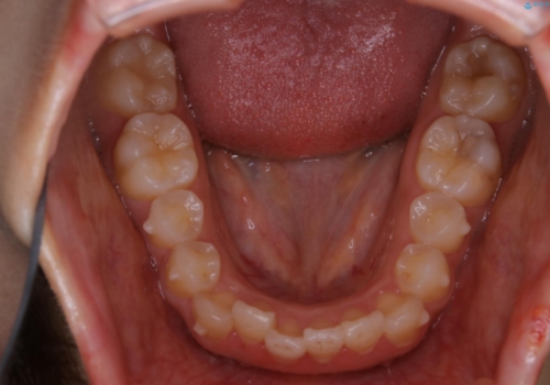
- 4年ほど前から地元の歯科医院にてインビザライン治療を行っていたが、引っ越し後に通いづらくなってしまったため、治療が途中で止まってしまっているとの事で来院されました。性格的にインビザラインの継続した使用が難しいとのことで、ワイヤー装置にて最終仕上げを行いました。
- 費用(概算)
- 80万円(税込み)費用は治療当時の料金となります
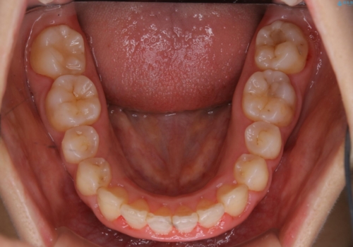
治療について
インビザラインは20時間以上の装着を厳守して頂くことで治療効果が期待できる治療となります。固定式のワイヤー装置に切り替えることで短期間で歯並びを整えることができ、大変喜んでいただけました。
ワイヤー矯正の注意事項(リスク・副作用など)
- 治療中は違和感や痛みが起こることがあります
- 症状により、抜歯が必要な場合があります
- 治療中は歯磨きがしにくくなるため、虫歯や歯周病になりやすくなります
- 矯正治療後の保定が不十分だと後戻り(元の位置に戻ろうとする動き)をします
- 自費診療(保険適用外)となります
当サイトの内容、テキスト、画像等の無断転載、複製、複写、盗用を固く禁じます。



















