症例詳細
Case detail
前歯の隙間が気になる マウスピース矯正
治療症例の内容
- 診療科目
- 治療カテゴリ
- 担当医
- 高悠莉(ドクタープロフィール)
- 患者様
- 30代男性
- 矯正装置
- インビザライン
- 治療期間
- 6ヶ月
- 治療回数
- 5-10回
- 治療計画
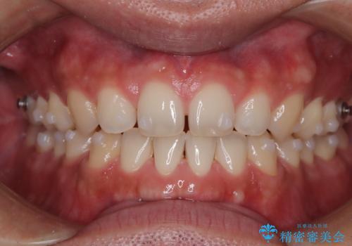
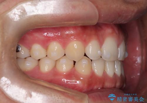
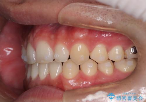
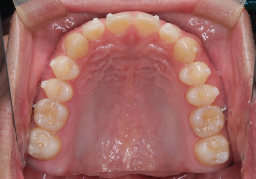
- 前歯がすきっ歯であることを気にされて来院された患者様です。上下顎のアーチを整える治療計画を立案し、マウスピースにて治療しました。とてもまじめに使用していただき、気になっていた隙間も順調に閉鎖しました。
- 費用(概算)
- 660,000円(税込)費用は治療当時の料金となります
使用時間について
一般的に、マウスピースは1日20-22時間装着しておくことが必要です。その間、基本的に水以外の飲食はできませんので、心配な方はご相談ください。
マウスピース矯正の注意事項(リスク・副作用など)
- 口腔内・歯並びの状態によっては対応できない場合があります
- マウスピース型矯正装置の長時間装着(1日20時間以上)が必須です
- 治療計画通りに進めるためには、患者様の意志が重要になります
- 矯正治療後の保定が不十分だと後戻り(元の位置に戻ろうとする動き)をします
- 薬機法対象外の矯正歯科装置のため医薬品副作用被害救済制度の対象外となる場合があります
- 自費診療(保険適用外)となります
当サイトの内容、テキスト、画像等の無断転載、複製、複写、盗用を固く禁じます。








 
                       
                                                          














 
                   
                   
                  