症例詳細
Case detail
他院のかぶせ物が欠けた 長持ちする形にして新製
治療症例の内容
- 診療科目
- 治療カテゴリ
- 担当医
- 高悠莉(ドクタープロフィール)
- 患者様
- 50代女性
- 治療期間
- 1ヶ月
- 治療回数
- 2-5回
- 治療計画
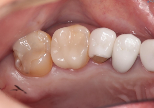
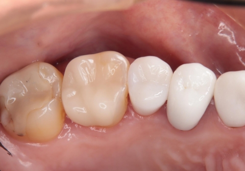
- 他院でいれたかぶせ物(セラミッククラウン)が欠けたとのことで来院されました。原因がかぶせ物の厚みが十分でなかったためと判断し、欠けにくい形にして新しいセラミッククラウンをセットしました。日本と海外を行き来されている患者様でしたので、帰国のタイミングに合わせて治療を進めさせていただきました。色調は、以前のかぶせ物とあわせてお作りしました。
- 費用(概算)
- 132,000円(税込)費用は治療当時の料金となります
仮歯について
かぶせ物(クラウン)の治療中は、一般的につけ外しが可能な仮歯をご準備いたします。仮歯を使って周囲の歯肉を整えたり、色味や形を調整したりします。
セラミック治療の注意事項(リスク・副作用など)
- 天然歯を削ります
- 硬い素材は天然歯を傷つけてしまう場合があります
- かみ合わせや歯ぎしりが強すぎる方はセラミックが割れてしまう可能性があります
- 自費診療(保険適用外治療)となります
当サイトの内容、テキスト、画像等の無断転載、複製、複写、盗用を固く禁じます。





