症例詳細
Case detail
インビザラインで前歯の突出感を改善|IPRで抜歯せずにスムーズな歯列へ
治療症例の内容
- 診療科目
- 治療カテゴリ
- 担当医
- 河口智英(ドクタープロフィール)
- 患者様
- 20代女性
- 治療期間
- 1年
- 治療回数
- 5-10回
- 治療計画
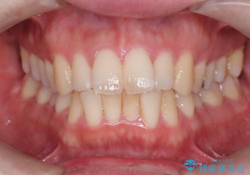
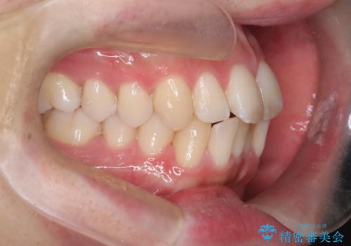
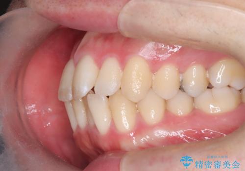
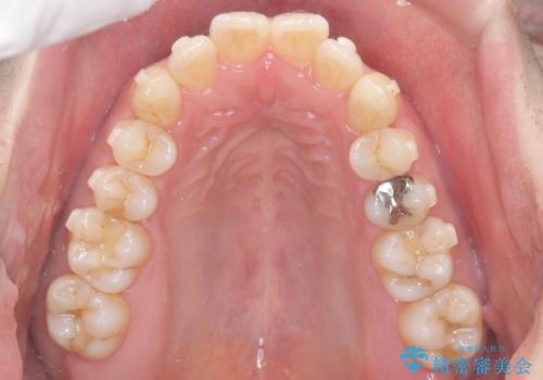
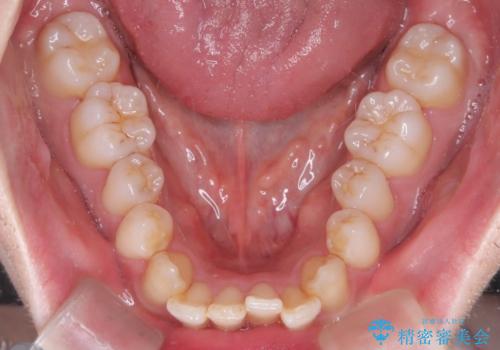
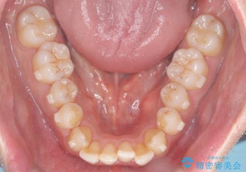
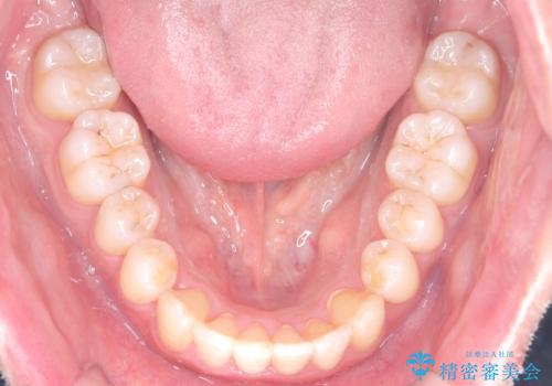
- 患者様は前歯の突出感を気にされて来院されました。診査の結果、歯のサイズと歯列のバランスがわずかに崩れており、歯を後方へ動かすスペースが不足していることがわかりました。抜歯せずに前歯の位置を調整する方法として、IPR(ストリッピング)を用いたインビザライン矯正を提案しました。IPRとは、歯の表面をわずかに削ることでスペースを作り、歯列を整える方法です。
- 費用(概算)
- 80万円費用は治療当時の料金となります
治療について
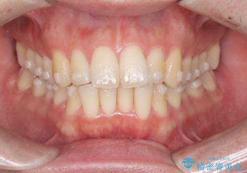
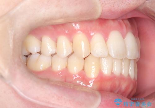
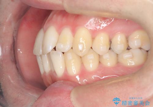
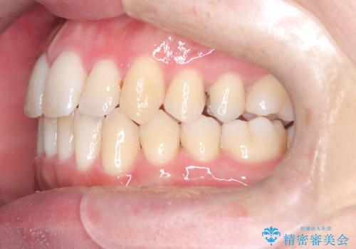
治療では、IPRを段階的に行いながらインビザラインを使用し、歯の移動をコントロールしました。歯を削る量は最小限に抑え、歯の健康を損なわない範囲でスペースを確保。これにより、前歯の突出感を自然に抑えながら、理想的な歯並びへと改善しました。患者様からは「抜歯せずにスッキリとした歯並びになり、見た目も良くなった」と喜びの声をいただきました。
マウスピース矯正の注意事項(リスク・副作用など)
- 口腔内・歯並びの状態によっては対応できない場合があります
- マウスピース型矯正装置の長時間装着(1日20時間以上)が必須です
- 治療計画通りに進めるためには、患者様の意志が重要になります
- 矯正治療後の保定が不十分だと後戻り(元の位置に戻ろうとする動き)をします
- 薬機法対象外の矯正歯科装置のため医薬品副作用被害救済制度の対象外となる場合があります
- 自費診療(保険適用外)となります
当サイトの内容、テキスト、画像等の無断転載、複製、複写、盗用を固く禁じます。















