症例詳細
Case detail
ハーフリンガル矯正|下顎前歯3本の特異症例を抜歯矯正で改善
治療症例の内容
- 診療科目
- 治療カテゴリ
- 担当医
- 河口智英(ドクタープロフィール)
- 患者様
- 20代女性
- 治療期間
- 3年
- 治療回数
- 10-30回
- 治療計画
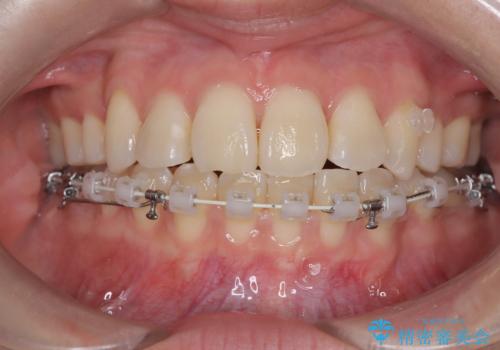
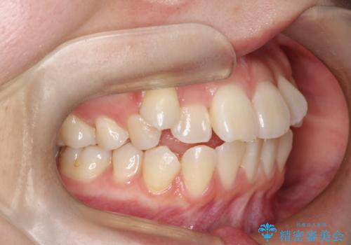
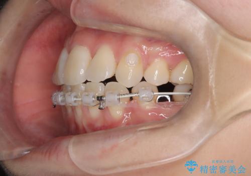
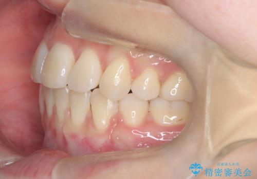
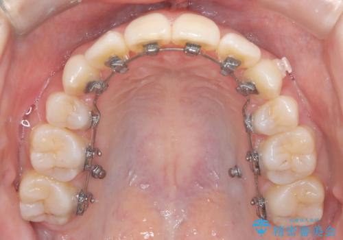
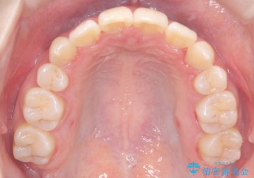
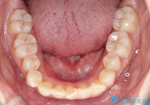
- 患者様は下顎の前歯が3本しかないという特異な歯列を持ち、噛み合わせのバランスが崩れていました。上下の歯の本数が通常と異なるため、抜歯部位の選定が重要となるケースでした。診査の結果、歯の位置や咬合のバランスを考慮し、上顎の両側小臼歯2本と左下の小臼歯1本を抜歯することで、上下の噛み合わせを整える方針としました。矯正装置は、**目立ちにくいハーフリンガル(上顎は裏側矯正・下顎は表側矯正)**を採用しました。
- 費用(概算)
- 130万円費用は治療当時の料金となります
治療について
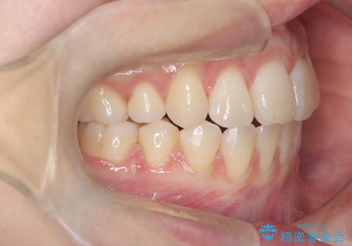
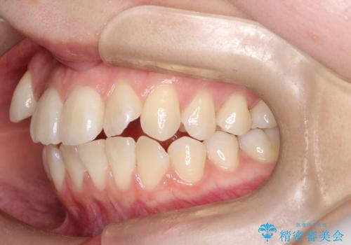
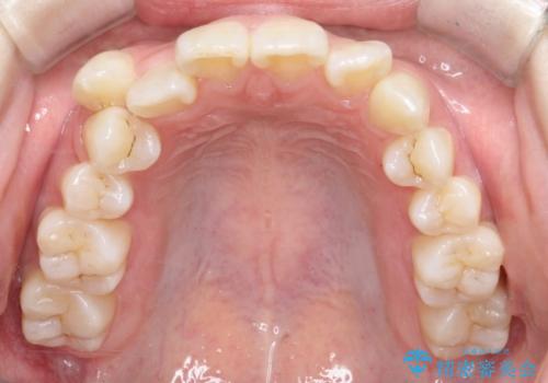
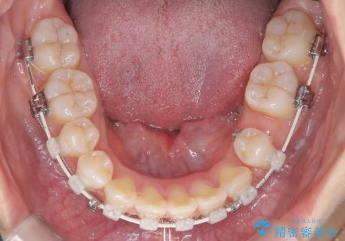
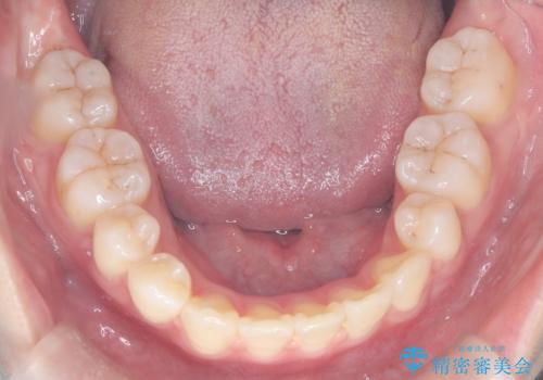
まず、計画通りに抜歯を行い、歯列のスペースを確保しました。上顎は裏側矯正(リンガル)で目立たないように配慮しながら歯を後方へ移動し、下顎は表側矯正を使用して、3本の前歯の位置関係を調整。上下の歯の噛み合わせを細かくコントロールしながら、全体のバランスを整えました。治療後は「歯並びがきれいになり、噛み合わせもしっかり合うようになった」と患者様にも満足していただけました。
ワイヤー矯正の注意事項(リスク・副作用など)
- 治療中は違和感や痛みが起こることがあります
- 症状により、抜歯が必要な場合があります
- 治療中は歯磨きがしにくくなるため、虫歯や歯周病になりやすくなります
- 矯正治療後の保定が不十分だと後戻り(元の位置に戻ろうとする動き)をします
- 自費診療(保険適用外)となります
当サイトの内容、テキスト、画像等の無断転載、複製、複写、盗用を固く禁じます。















