症例詳細
Case detail
インビザラインで非抜歯矯正|ゴムかけで下顎犬歯の低位を改善し、噛み合わせも最適化
治療症例の内容
- 診療科目
- 治療カテゴリ
- 担当医
- 河口智英(ドクタープロフィール)
- 患者様
- 30代女性
- 治療期間
- 2年
- 治療回数
- 10-30回
- 治療計画
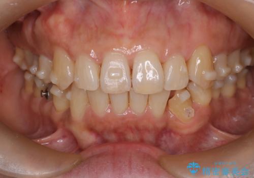
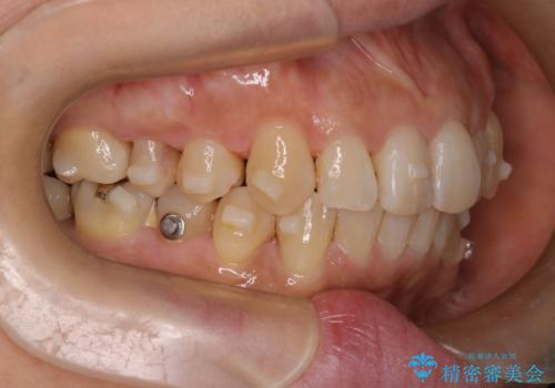
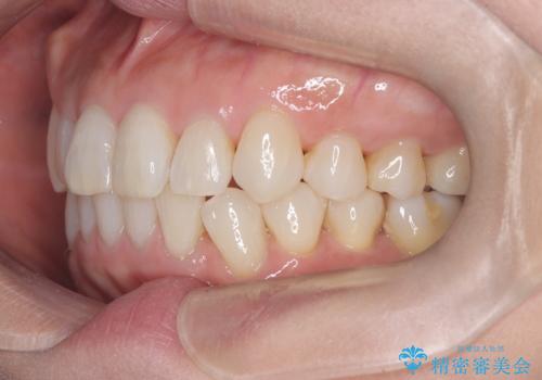
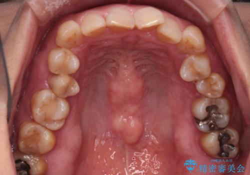
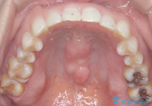
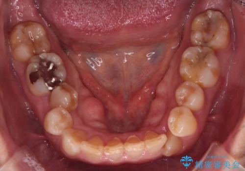
- 患者様は、下顎の犬歯が通常より低い位置にあり、噛み合わせのバランスが崩れていることを気にされて来院されました。診査の結果、抜歯せずに歯をきれいに並べるスペースを確保しながら、**ゴムかけ(顎間ゴム)**を使用して下顎犬歯の高さを適正に調整する方針を立てました。併せて、奥歯の噛み合わせも改善し、全体のバランスを整えることを目標としました。
- 費用(概算)
- 85万円費用は治療当時の料金となります
治療について
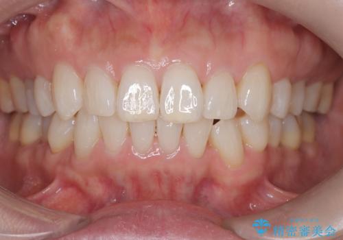
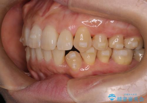
治療はインビザライン(マウスピース矯正)を使用し、歯列全体を計画的に移動させながら、下顎犬歯の低位をゴムかけによって徐々に引き上げました。患者様にはゴムの装着をしっかり継続していただき、順調に改善が進行。最終的に奥歯の噛み合わせも安定し、全体の咬合バランスが整いました。治療後は「自然な噛み心地になり、見た目も満足」と患者様にも喜んでいただきました。
マウスピース矯正の注意事項(リスク・副作用など)
- 口腔内・歯並びの状態によっては対応できない場合があります
- マウスピース型矯正装置の長時間装着(1日20時間以上)が必須です
- 治療計画通りに進めるためには、患者様の意志が重要になります
- 矯正治療後の保定が不十分だと後戻り(元の位置に戻ろうとする動き)をします
- 薬機法対象外の矯正歯科装置のため医薬品副作用被害救済制度の対象外となる場合があります
- 自費診療(保険適用外)となります
当サイトの内容、テキスト、画像等の無断転載、複製、複写、盗用を固く禁じます。















