症例詳細
Case detail
銀歯を白くしたい フルジルコニアクラウンとセラミックインレー
治療症例の内容
- 診療科目
- 担当医
- 小澤俊哉(ドクタープロフィール)
- 患者様
- 30代男性
- 治療期間
- 1ヶ月
- 治療回数
- 2-5回
- 治療計画
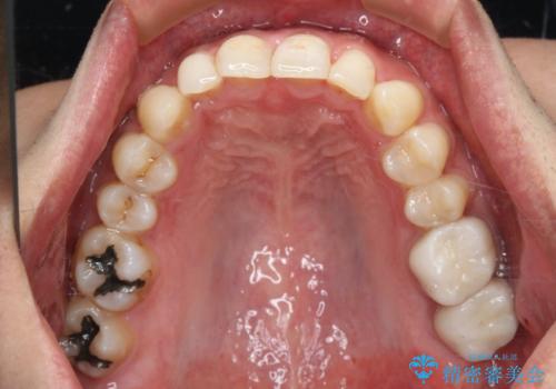
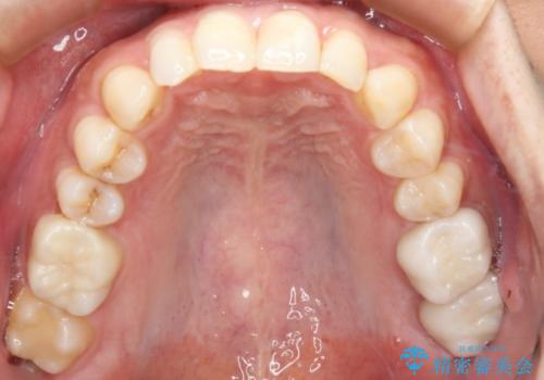
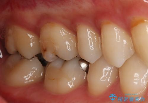
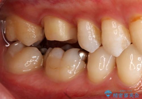
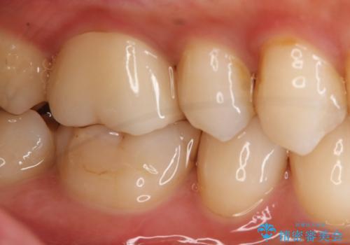
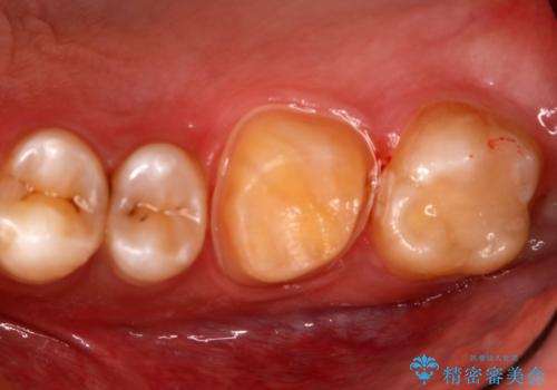
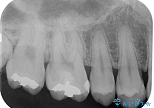
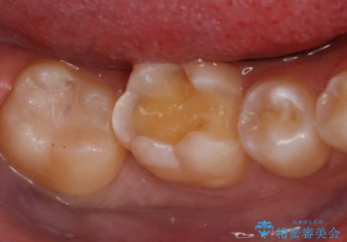
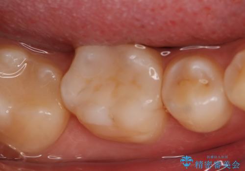
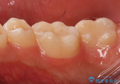
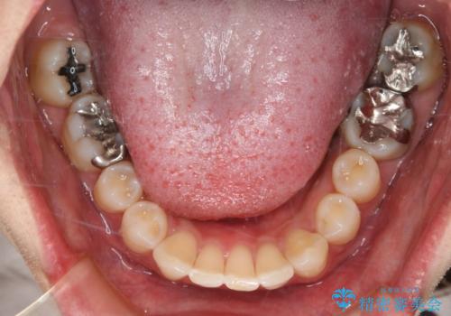
- 右上下6番の銀歯のやり変えを希望された患者様です。
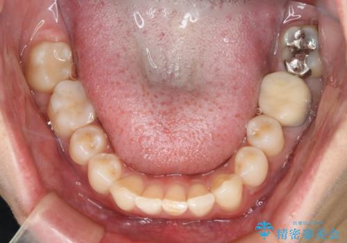
切削量・形態を考慮し、上はセラミッククラウン、下はセラミックインレーでの治療を選択しました。
- 費用(概算)
- 176000円(フルジルコニアクラウン、仮歯、セラミックインレー)費用は治療当時の料金となります
治療について
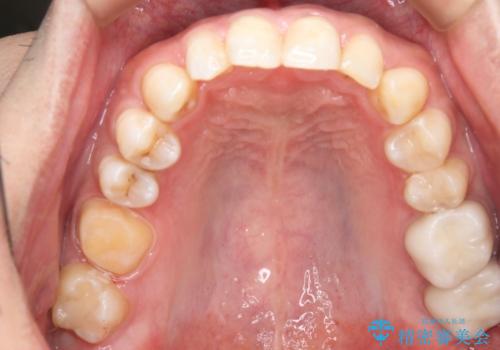
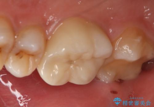
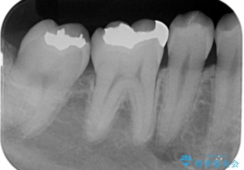
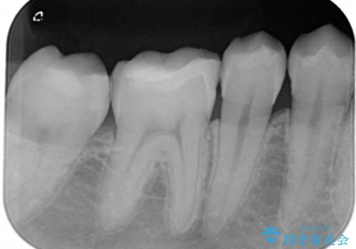
上はう蝕が歯頚部まで達していたのでクラウンでの治療を選択しました。
銀歯直下もう蝕が進行していたので全て除去した上でCRにて裏層しています。
下はクラウンほど切削量が多くないと判断し、インレーでの治療を選択しました。
セラミック治療の注意事項(リスク・副作用など)
- 天然歯を削ります
- 硬い素材は天然歯を傷つけてしまう場合があります
- かみ合わせや歯ぎしりが強すぎる方はセラミックが割れてしまう可能性があります
- 自費診療(保険適用外治療)となります
当サイトの内容、テキスト、画像等の無断転載、複製、複写、盗用を固く禁じます。























