症例詳細
Case detail
【セラミッククラウン】歯がポロポロ欠けた
治療症例の内容
- 診療科目
- 治療カテゴリ
- 担当医
- 町田睦月(ドクタープロフィール)
- 患者様
- 40代男性
- 治療期間
- 1ヶ月
- 治療回数
- 2-5回
- 治療計画
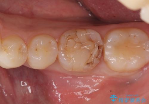
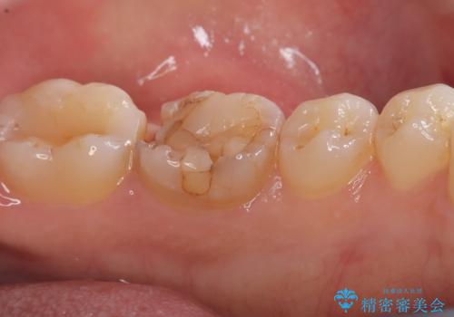
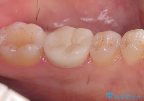
- 主訴:強く噛んだら歯がポロポロ欠けてきた。
左下6番目の歯の咬合面にプラスチックの材料が詰まっており、歯質がドーナツ状にしか残っていなかったため、歯質幅が比較的薄かった場所が欠けてしまったようでした。
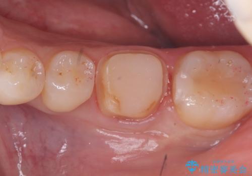
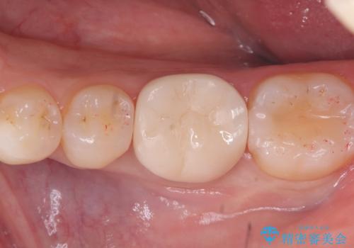
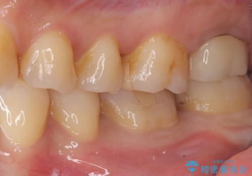
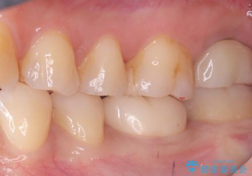
今後の破折リスクを説明し、セラミッククラウンでのやり替えとなりました。
- 費用(概算)
- 132,000円費用は治療当時の料金となります
治療について
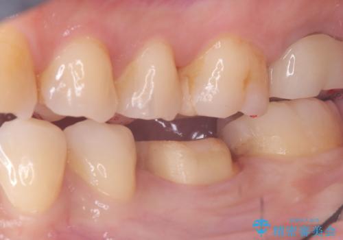
頬舌的レジンインレーが入っており、歯質幅の薄かった且つ強く咬合していた遠心側歯質が欠けてしまっていました。また新しい窩洞のインレーを入れても、近心側歯質の破折のリスクは抱えたままになることから、クラウンでの修復をおすすめし審美性・適合性のよいセラミッククラウンでのやり替えとなりました。
セラミック治療の注意事項(リスク・副作用など)
- 天然歯を削ります
- 硬い素材は天然歯を傷つけてしまう場合があります
- かみ合わせや歯ぎしりが強すぎる方はセラミックが割れてしまう可能性があります
- 自費診療(保険適用外治療)となります
当サイトの内容、テキスト、画像等の無断転載、複製、複写、盗用を固く禁じます。











