症例詳細
Case detail
歯間部の自分では気づきにくい虫歯 セラミックインレー修復
治療症例の内容
- 診療科目
- 治療カテゴリ
- 担当医
- 齋藤佑磨(ドクタープロフィール)
- 患者様
- 20代男性
- 治療期間
- 1ヶ月
- 治療回数
- 2-5回
- 治療計画
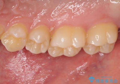
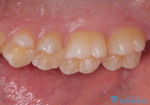
- 定期健診で歯間部の齲蝕が見つかった患者様です。
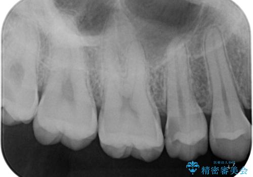
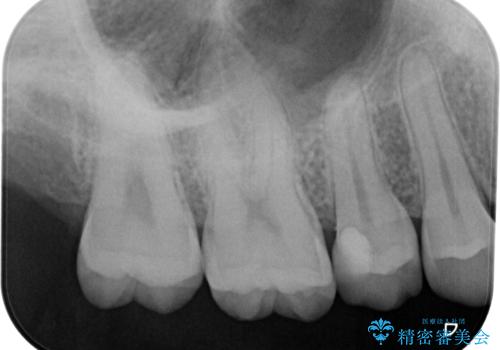
食べ物が頻繁に詰まるとのことで、レントゲンで確認したところ、歯間部に齲蝕が認められました。
このまま放置すると齲蝕が進行し、歯の神経まで及んでしまう危険性があるため、精度の高いセラミックインレー修復を行いました。
- 費用(概算)
- 8万円(税込)費用は治療当時の料金となります
治療について
ぱっと見ではわかりずらい齲蝕ですが、レントゲン写真でははっきりと確認することができます。
齲蝕がより進行すると神経の処置が必要になってしまう可能性があるため、早期発見・治療のための定期健診の重要性がわかります。
セラミック治療の注意事項(リスク・副作用など)
- 天然歯を削ります
- 硬い素材は天然歯を傷つけてしまう場合があります
- かみ合わせや歯ぎしりが強すぎる方はセラミックが割れてしまう可能性があります
- 自費診療(保険適用外治療)となります
当サイトの内容、テキスト、画像等の無断転載、複製、複写、盗用を固く禁じます。






