症例詳細
Case detail
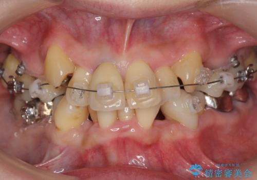
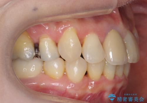
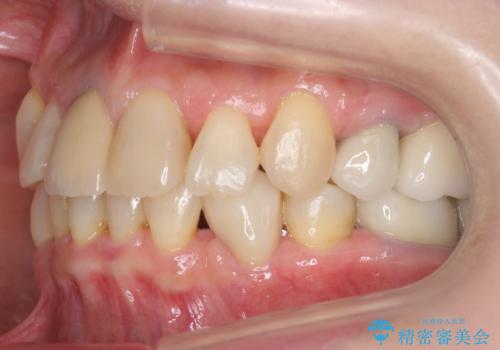
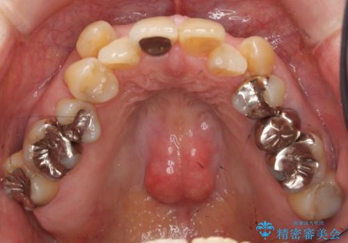
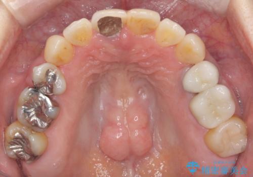
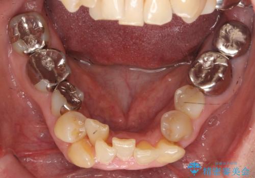
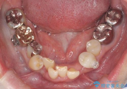
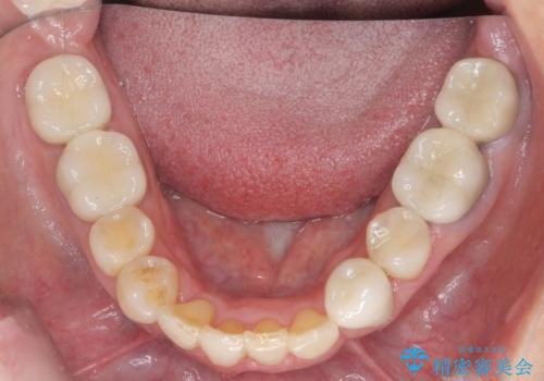
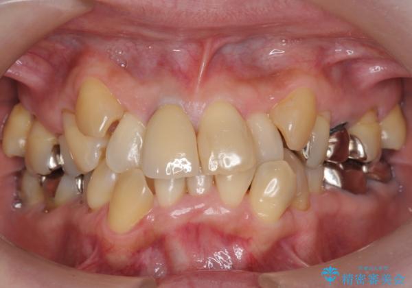
50代女性 八重歯を矯正治療 歯並びの中等度のがたつき
治療症例の内容
- 診療科目
- 担当医
- 井上季実子(ドクタープロフィール)
- 患者様
- 50代女性
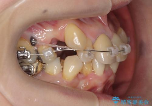
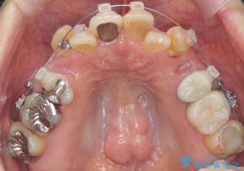
- 矯正装置
- ワイヤー矯正
- 治療期間
- 3年6ヶ月
- 治療回数
- 30回以上
- 治療計画
- 八重歯の矯正を希望されて来院。
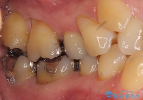
歯は入りきらないため、通常の抜歯矯正を行いました。
歯がご年齢的に動きにくいため、被せ物のやり替えを含めて治療期間の短縮を図りました。
矯正治療自体は2年半、虫歯治療等で1年ほどかかっています。
- 費用(概算)
- 110万円費用は治療当時の料金となります
治療について
詰め物や被せ物のやり替えも併せて行っているため、治療期間を比較的短縮できました。
ワイヤー矯正の注意事項(リスク・副作用など)
- 治療中は違和感や痛みが起こることがあります
- 症状により、抜歯が必要な場合があります
- 治療中は歯磨きがしにくくなるため、虫歯や歯周病になりやすくなります
- 矯正治療後の保定が不十分だと後戻り(元の位置に戻ろうとする動き)をします
- 自費診療(保険適用外)となります
当サイトの内容、テキスト、画像等の無断転載、複製、複写、盗用を固く禁じます。





















