症例詳細
Case detail
奥歯の保険の詰め物を自費のものに変えたい
治療症例の内容
- 診療科目
- 治療カテゴリ
- 担当医
- 小澤俊哉(ドクタープロフィール)
- 患者様
- 30代女性
- 治療期間
- 1ヶ月
- 治療回数
- 2-5回
- 治療計画
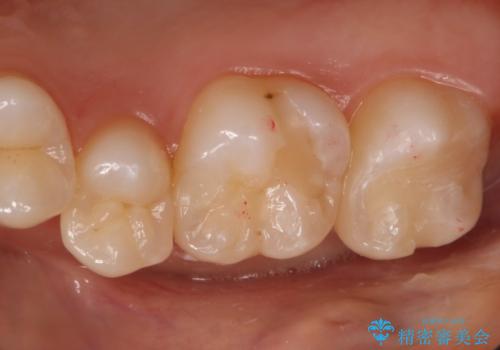
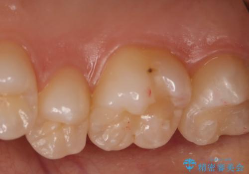
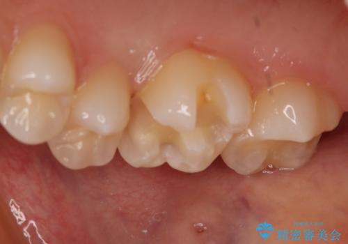
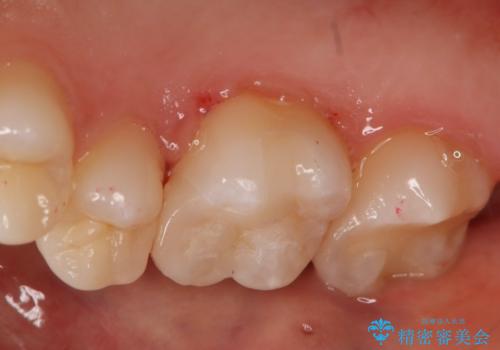
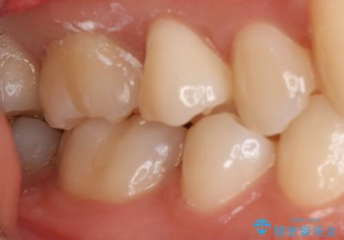
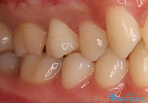
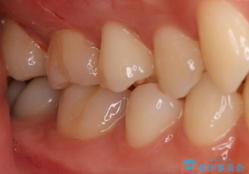
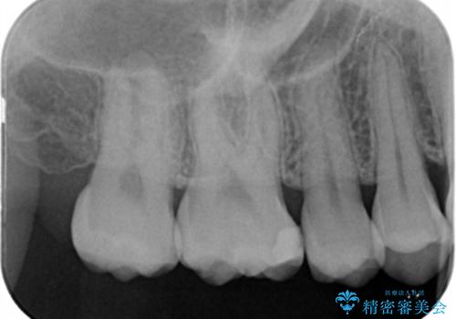
- 右上6番の保険材料で詰められた部分をセラミックにやり変え希望の患者様です。
切削量などを考慮し、セラミックインレーでの治療を選択しました。
- 費用(概算)
- 77000円(税込)費用は治療当時の料金となります
治療について
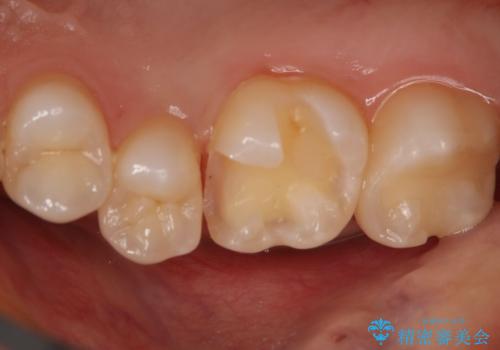
う蝕が深くまで進行していたので、全て除去した上でCR裏層を行い形成、印象を行っています。
セラミック治療の注意事項(リスク・副作用など)
- 天然歯を削ります
- 硬い素材は天然歯を傷つけてしまう場合があります
- かみ合わせや歯ぎしりが強すぎる方はセラミックが割れてしまう可能性があります
- 自費診療(保険適用外治療)となります
当サイトの内容、テキスト、画像等の無断転載、複製、複写、盗用を固く禁じます。











