症例詳細
Case detail
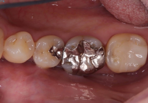
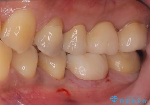
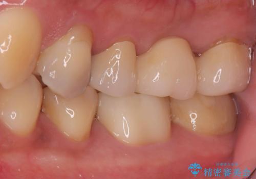
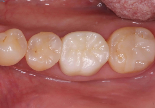
【セラミックインレー・フルジルコニアクラウン】2本の銀歯の下が虫歯に
治療症例の内容
- 診療科目
- 担当医
- 河野豊嘉(ドクタープロフィール)
- 患者様
- 30代男性
- 治療期間
- 治療回数
- 2-5回
- 治療計画
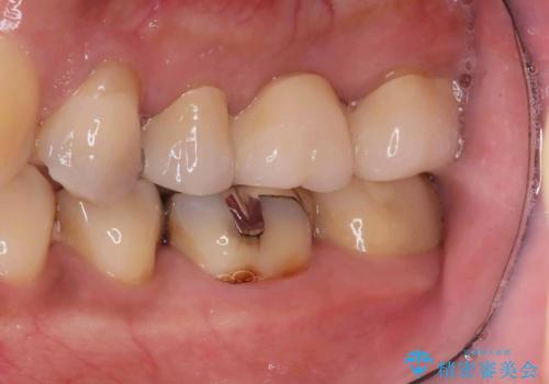
- 銀歯2本の下が虫歯になっていたので、フルジルコニアクラウンとセラミックインレーで治療を行いました。
- 費用(概算)
- 176.000円費用は治療当時の料金となります
治療について
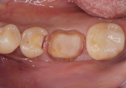
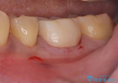
適合が良い被せ物を入れるために、歯の境としっかり合わせた仮歯を入れ、歯茎の状態を良くしてからシリコンで型取りをしています。
セラミック治療の注意事項(リスク・副作用など)
- 天然歯を削ります
- 硬い素材は天然歯を傷つけてしまう場合があります
- かみ合わせや歯ぎしりが強すぎる方はセラミックが割れてしまう可能性があります
- 自費診療(保険適用外治療)となります
当サイトの内容、テキスト、画像等の無断転載、複製、複写、盗用を固く禁じます。









