症例詳細
Case detail
【フルジルコニアクラウン】銀歯二次カリエス!
治療症例の内容
- 診療科目
- 治療カテゴリ
- 担当医
- 河野豊嘉(ドクタープロフィール)
- 患者様
- 40代男性
- 治療期間
- 治療回数
- 2-5回
- 治療計画
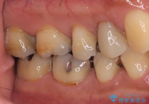
- 当院で治療後、メインテナンスに通っていただいている患者様です。
メインテナンスに通っていただきながら虫歯の治療や銀歯を外してフルジルコニアクラウンに変えています。
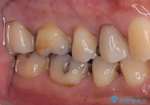
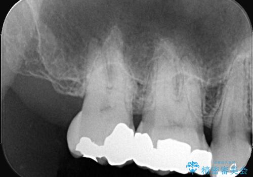
今回も不適合な銀歯を外したらその下は虫歯になっていました。
虫歯を除去後、フルジルコニアクラウンで治療を行いました。
- 費用(概算)
- 99,000円(税込)フルジルコニアクラウン8.8万円+仮歯1.1万円費用は治療当時の料金となります
治療について
不適合な銀歯を外して、虫歯の除去後にシリコンで印象をとりフルジルコニアクラウンで治療を行いました。
セラミック治療の注意事項(リスク・副作用など)
- 天然歯を削ります
- 硬い素材は天然歯を傷つけてしまう場合があります
- かみ合わせや歯ぎしりが強すぎる方はセラミックが割れてしまう可能性があります
- 自費診療(保険適用外治療)となります
当サイトの内容、テキスト、画像等の無断転載、複製、複写、盗用を固く禁じます。









